You have no items in your shopping cart.
VEGF-A rabbit pAb
Description
Images & Validation
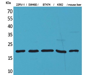
−| Tested Applications | ELISA, IF, IHC-P, WB |
|---|---|
| Dilution range | Western Blot: 1/500 - 1/2000.IF: 1:50-200 Immunohistochemistry: 1/100 - 1/300. ELISA: 1/10000. Not yet tested in other applications. |
| Reactivity | Human, Mouse, Porcine, Rabbit, Rat |
Key Properties
−| Clonality | Polyclonal |
|---|---|
| Isotype | IgG |
| Immunogen | The antiserum was produced against synthesized peptide derived from human VEGF-A. AA range:110-159 |
| Purification | The antibody was affinity-purified from rabbit antiserum by affinity-chromatography using epitope-specific immunogen. |
| Conjugation | Unconjugated |
Storage & Handling
−| Storage | Maintain refrigerated at 2-8°C for up to 2 weeks. For long term storage store at -20°C in small aliquots to prevent freeze-thaw cycles. |
|---|---|
| Buffer/Preservatives | PBS with 0.02% sodium azide and 50% glycerol pH 7.4. |
| Concentration | 1 mg/ml |
| Disclaimer | For research use only |
Alternative Names
−Similar Products
−VEGF165 Rabbit pAb, HRP conjugated [orb1608760]
ELISA, WB
Human, Mouse, Rat
Rabbit
Polyclonal
HRP
VEGF165 Rabbit pAb, Biotin conjugated [orb1608761]
ELISA, WB
Human, Mouse, Rat
Rabbit
Polyclonal
Biotin
VEGFA Rabbit pAb, PerCP-Cy7 conjugated [orb2846379]
IF
Canine
Human, Rat
Rabbit
Polyclonal
PerCP/Cy7
100 μl

Quality Guarantee
Explore bioreagents carefree to elevate your research. All our products are rigorously tested for performance. If a product does not perform as described on its datasheet, our scientific support team will provide expert troubleshooting, a prompt replacement, or a refund. For full details, please see our Terms & Conditions and Buying Guide. Contact us at support@biorbyt.com.

Immunofluorescence analysis of A549. 1, primary Antibody (red) was diluted at 1:200 (4°C overnight). 2, Goat Anti Rabbit IgG (H&L) - Alexa Fluor 594 Secondary antibody was diluted at 1:1000 (room temperature, 50min). 3, Picture B: DAPI (blue) 10min.
Quick Database Links
Protocol Information
VEGF-A rabbit pAb (orb770371)
Participating in our Biorbyt product reviews program enables you to support fellow scientists by sharing your firsthand experience with our products.
Login to Submit a Review


