You have no items in your shopping cart.
14-3-3 epsilon Antibody / YWHAE
Description
Images & Validation
−| Tested Applications | IHC-P, WB |
|---|---|
| Dilution Range | Western blot: 1-2ug/ml,Immunohistochemistry (FFPE): 0.5-1ug/ml for 30 min at RT |
| Reactivity | Human |
| Application Notes |
Key Properties
−| Antibody Type | Primary Antibody |
|---|---|
| Host | Mouse |
| Clonality | Monoclonal |
| Isotype | Mouse IgG2a, kappa |
| Clone No. | CPTC-YWHAE-1 |
| Immunogen | Full length recombinant human protein was used as the immunogen for the 14-3-3 epsilon antibody. |
| Purification | Protein G affinity chromatography |
| Conjugation | Unconjugated |
Storage & Handling
−| Storage | Maintain refrigerated at 2-8°C for up to 2 weeks. For long term storage store at -20°C in small aliquots to prevent freeze-thaw cycles. |
|---|---|
| Buffer/Preservatives | 1 mg/ml in 1X PBS; rAlbumin free, sodium azide free |
| Expiration Date | 12 months from date of receipt. |
| Disclaimer | For research use only |
Similar Products
−
Quality Guarantee
Explore bioreagents carefree to elevate your research. All our products are rigorously tested for performance. If a product does not perform as described on its datasheet, our scientific support team will provide expert troubleshooting, a prompt replacement, or a refund. For full details, please see our Terms & Conditions and Buying Guide. Contact us at support@biorbyt.com.

Western blot testing of human 1) HEK293, 2) PC-3 and 3) A431 lysate with 14-3-3 epsilon antibody. Predicted molecular weight ~28 kDa.

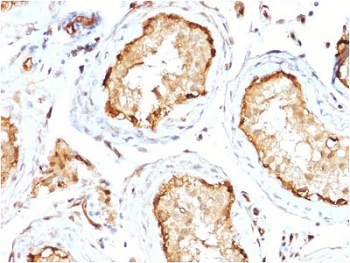
IHC staining of FFPE human testis with 14-3-3 epsilon antibody (clone CPTC-YWHAE-1). HIER: boil tissue sections in pH6, 10 mM citrate buffer, for 10-20 min followed by cooling at RT for 20 min.

Analysis of HuProt (TM) microarray containing more than 19000 full-length human proteins using 14-3-3 epsilon antibody (clone CPTC-YWHAE-1). These results demonstrate the foremost specificity of the CPTC-YWHAE-1 mAb. Z- and S- score: The Z-score represents the strength of a signal that an antibody (in combination with a fluorescently-tagged anti-IgG secondary Ab) produces when binding to a particular protein on the HuProt (TM) array. Z-scores are described in units of standard deviations (SD's) above the mean value of all signals generated on that array. If the targets on the HuProt (TM) are arranged in descending order of the Z-score, the S-score is the difference (also in units of SD's) between the Z-scores. The S-score therefore represents the relative target specificity of an Ab to its intended target.

SDS-PAGE analysis of purified, BSA-free 14-3-3 epsilon antibody (clone ACP5/2336R) as confirmation of integrity and purity.
Quick Database Links
UniProt Details
−Documents Download
Request a Document
Protocol Information
14-3-3 epsilon Antibody / YWHAE (orb2642341)
Participating in our Biorbyt product reviews program enables you to support fellow scientists by sharing your firsthand experience with our products.
Login to Submit a Review





