You have no items in your shopping cart.
14-3-3 sigma Recombinant Mouse Monoclonal Antibody
Description
Research Area
Images & Validation
−| Tested Applications | IF, IHC-Fr, IHC-P, WB |
|---|---|
| Dilution Range | WB=1:500-2000, IHC-P=1:50-100, IHC-F=1:400-800, IF=1:100-500 |
| Reactivity | Human |
Key Properties
−| Antibody Type | Primary Antibody |
|---|---|
| Host | Mouse |
| Clonality | Recombinant |
| Isotype | IgG1, Kappa |
| Immunogen | KLH conjugated synthetic peptide derived from human 14-3-3 sigma |
| Target | SFN |
| Molecular Weight | 28 kDa |
| Purification | Affinity purified by Protein G |
| Conjugation | Unconjugated |
Storage & Handling
−| Storage | Maintain refrigerated at 2-8°C for up to 2 weeks. For long term storage store at -20°C in small aliquots to prevent freeze-thaw cycles. |
|---|---|
| Form/Appearance | Liquid |
| Buffer/Preservatives | 0.01M TBS (pH7.4) with 1% rAlbumin, 0.02% Proclin300 and 50% Glycerol. |
| Concentration | 1mg/ml |
| Expiration Date | 12 months from date of receipt. |
| Disclaimer | For research use only |
Alternative Names
−
Quality Guarantee
Explore bioreagents carefree to elevate your research. All our products are rigorously tested for performance. If a product does not perform as described on its datasheet, our scientific support team will provide expert troubleshooting, a prompt replacement, or a refund. For full details, please see our Terms & Conditions and Buying Guide. Contact us at support@biorbyt.com.

Blocking buffer: 5% NFDM/TBST, Primary ab Dilution: 1:1000, Primary ab incubation condition: room temperature 2h, Secondary ab: Goat Anti-Mouse IgG H&L (HRP), Lysate: HeLa, MCF-7, Protein loading quantity: 20 µg, Exposure time: 60 s, Predicted MW: 28 kDa, Observed MW: 28 kDa.

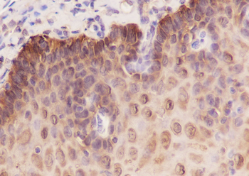
Tissue: Human esophagus, Section type: Formalin fixed & Paraffin-embedded section, Retrieval method: High temperature and high pressure, Retrieval buffer: Tris/EDTA buffer, pH9.0 Primary ab Dilution: 1:100, Primary ab incubation condition: 1 hour at room temperature, Secondary ab:SP Kit (Mouse), Counter stain: Hematoxylin (Blue), Comment: Color brown is the positive signal for orb1152014.

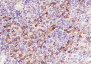
Tissue: Human tonsil, Section type: Formalin fixed & Paraffin-embedded section, Retrieval method: High temperature and high pressure, Retrieval buffer: Tris/EDTA buffer, pH9.0 Primary ab Dilution: 1:100, Primary ab incubation condition: 1 hour at room temperature, Secondary ab: SP Kit (Mouse), Counter stain: Hematoxylin (Blue), Comment: Color brown is the positive signal for orb1152014.
Quick Database Links
UniProt Details
−Documents Download
Request a Document
Protocol Information
14-3-3 sigma Recombinant Mouse Monoclonal Antibody (orb1152014)
Participating in our Biorbyt product reviews program enables you to support fellow scientists by sharing your firsthand experience with our products.
Login to Submit a Review