You have no items in your shopping cart.
ABCB6 Antibody
Description
Research Area
Images & Validation
−| Tested Applications | ELISA, IHC, WB |
|---|---|
| Dilution Range | ELISA:1:1000-1:2000, WB:1:200-1:1000, IHC-P:1:25-1:100 |
| Reactivity | Human, Mouse, Rat |
Key Properties
−| Host | Rabbit |
|---|---|
| Clonality | Polyclonal |
| Isotype | IgG |
| Immunogen | Fusion protein of Human ABCB6 |
| Target | ABCB6 |
| Purification | Antigen Affinity Purified |
| Conjugation | Unconjugated |
Storage & Handling
−| Storage | Maintain refrigerated at 2-8°C for up to 2 weeks. For long term storage store at -20°C in small aliquots to prevent freeze-thaw cycles. |
|---|---|
| Form/Appearance | Liquid |
| Buffer/Preservatives | -20°C, pH7.4 PBS, 0.05% NaN3, 40% Glycerol |
| Expiration Date | 12 months from date of receipt. |
| Disclaimer | For research use only |
Alternative Names
−Similar Products
−ABCB6 Rabbit Polyclonal Antibody [orb10022]
IF, IHC-Fr, IHC-P
Bovine, Canine, Equine, Guinea pig, Human, Mouse, Porcine
Rat
Rabbit
Polyclonal
Unconjugated
50 μl, 100 μl, 200 μlABCB6 Rabbit Polyclonal Antibody [orb624396]
ELISA, IF, IHC, WB
Human
Rabbit
Polyclonal
Unconjugated
100 μg, 50 μgABCB6 Rabbit Polyclonal Antibody [orb77653]
ELISA, IHC, WB
Mouse, Rat
Human
Rabbit
Polyclonal
Unconjugated
100 μg

Quality Guarantee
Explore bioreagents carefree to elevate your research. All our products are rigorously tested for performance. If a product does not perform as described on its datasheet, our scientific support team will provide expert troubleshooting, a prompt replacement, or a refund. For full details, please see our Terms & Conditions and Buying Guide. Contact us at support@biorbyt.com.

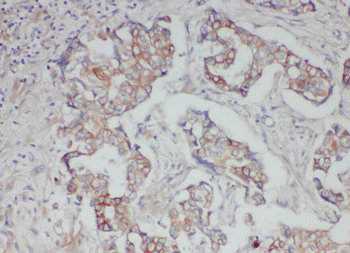
Immunohistochemistry of paraffin-embedded Human lung cancer tissue using ABCB6 antibody

Western blot aanalysis of Lane 1-2: Mouse liver tissue, SP20 cellsusing ABCB6 antibody

Immunohistochemistry of paraffin-embedded Human colon cancer tissue using ABCB6 antibody
Quick Database Links
UniProt Details
−Documents Download
Request a Document
Protocol Information
ABCB6 Antibody (orb519718)
Participating in our Biorbyt product reviews program enables you to support fellow scientists by sharing your firsthand experience with our products.
Login to Submit a Review









