You have no items in your shopping cart.
ABL1/2 (phospho-Tyr393/439) Antibody
Description
Images & Validation
−| Tested Applications | IF, IHC, WB |
|---|---|
| Reactivity | Human, Mouse |
Key Properties
−| Antibody Type | Primary Antibody |
|---|---|
| Host | Rabbit |
| Clonality | Polyclonal |
| Conjugation | Unconjugated |
Storage & Handling
−| Storage | Maintain refrigerated at 2-8°C for up to 2 weeks. For long term storage store at -20°C in small aliquots to prevent freeze-thaw cycles. |
|---|---|
| Expiration Date | 12 months from date of receipt. |
| Disclaimer | For research use only |
Similar Products
−ABL1/2 (phospho-Tyr393/439) Antibody [orb2629117]
IF, IHC, WB
Human, Mouse
Rabbit
Polyclonal
Unconjugated
ABL1/2 (phospho-Tyr393/439) Polyclonal Conjugated Antibody [orb1630914]
Human, Mouse
Rabbit
Polyclonal
Biotin
100 μl

Quality Guarantee
Explore bioreagents carefree to elevate your research. All our products are rigorously tested for performance. If a product does not perform as described on its datasheet, our scientific support team will provide expert troubleshooting, a prompt replacement, or a refund. For full details, please see our Terms & Conditions and Buying Guide. Contact us at support@biorbyt.com.

Western blot analysis of ABL1/2(phospho-Tyr393/429) antibody in HL60 cells lysates

Confocal immunofluorescent analysis of ABL1/2(phospho-Tyr393/429) antibody in Hela cells lysates

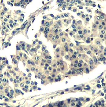
Immunohistochemical analysis of formalin-fixed and paraffin-embedded human breast carcinoma tissue using ABL1/2(Phospho-Tyr393/429) antibody
Quick Database Links
UniProt Details
−Documents Download
Request a Document
Protocol Information
ABL1/2 (phospho-Tyr393/439) Antibody (orb15007)
Participating in our Biorbyt product reviews program enables you to support fellow scientists by sharing your firsthand experience with our products.
Login to Submit a Review