You have no items in your shopping cart.
H2B K15ac Antibody
Description
Images & Validation
−| Tested Applications | IF, IHC, IP, WB |
|---|---|
| Reactivity | Human, Mouse |
| Application Notes |
Key Properties
−| Antibody Type | Primary Antibody |
|---|---|
| Host | Rabbit |
| Clonality | Polyclonal |
| Isotype | IgG |
| Immunogen | AA synthetic acetylated peptide corresponding to residues surrounding K15 of human Histone H2B |
| Target | H2B K15ac |
| Purification | Affinity purification |
| Conjugation | Unconjugated |
Storage & Handling
−| Storage | Maintain refrigerated at 2-8°C for up to 2 weeks. For long term storage store at -20°C in small aliquots to prevent freeze-thaw cycles. |
|---|---|
| Form/Appearance | Liquid |
| Buffer/Preservatives | PBS with 0.02% sodium azide, 50% glycerol, pH 7.3. |
| Concentration | batch dependent |
| Expiration Date | 12 months from date of receipt. |
| Disclaimer | For research use only |

Quality Guarantee
Explore bioreagents carefree to elevate your research. All our products are rigorously tested for performance. If a product does not perform as described on its datasheet, our scientific support team will provide expert troubleshooting, a prompt replacement, or a refund. For full details, please see our Terms & Conditions and Buying Guide. Contact us at support@biorbyt.com.

Western blot analysis of extracts of various cell lines, using Acetyl-Histone H2B-K15 antibody (orb1259420) at 1:1000 dilution. HeLa cells were treated by TSA (1 uM) at 37 ℃ for 18 hours. NIH/3T3 cells were treated by TSA (1 uM) at 37 ℃ for 18 hours. C6 cells were treated by TSA (1 uM) at 37 ℃ for 18 hours. Secondary antibody: HRP Goat Anti-Rabbit IgG (H+L) at 1:10000 dilution. Lysates/proteins: 25 ug per lane. Blocking buffer: 3% BSA. Detection: ECL Basic Kit. Exposure time: 10s.

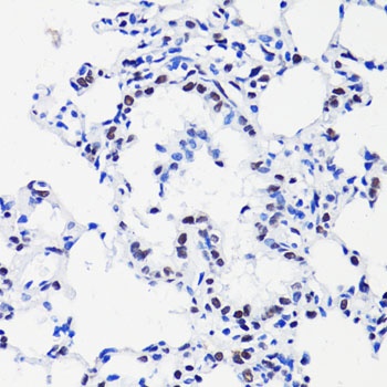
Immunohistochemistry of paraffin-embedded rat lung using H2B K15ac antibody (orb1259420) at dilution of 1:100 (40x lens).

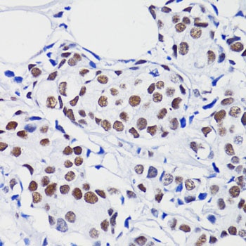
Immunohistochemistry of paraffin-embedded human breast cancer using H2B K15ac antibody (orb1259420) at dilution of 1:100 (40x lens).

Immunohistochemistry of paraffin-embedded human gastric cancer using H2B K15ac antibody (orb1259420) at dilution of 1:100 (40x lens).

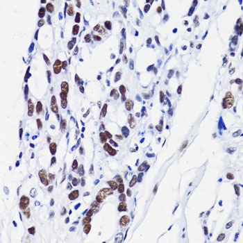
Immunohistochemistry of paraffin-embedded mouse brain using H2B K15ac antibody (orb1259420) at dilution of 1:100 (40x lens).

Immunofluorescence analysis of C6 cells using Acetyl-Histone H2B-K15 antibody (orb1259420) at dilution of 1:100. C6 cells were treated by TSA (1 uM) at 37 ℃ for 18 hours. Blue: DAPI for nuclear staining.

Immunofluorescence analysis of HeLa cells using Acetyl-Histone H2B-K15 antibody (orb1259420) at dilution of 1:100. HeLa cells were treated by TSA (1 uM) at 37 ℃ for 18 hours. Blue: DAPI for nuclear staining.

Immunofluorescence analysis of NIH/3T3 cells using Acetyl-Histone H2B-K15 antibody (orb1259420) at dilution of 1:100. NIH/3T3 cells were treated by TSA (1 uM) at 37 ℃ for 18 hours. Blue: DAPI for nuclear staining.
Quick Database Links
Documents Download
Request a Document
Protocol Information
H2B K15ac Antibody (orb1259420)
Participating in our Biorbyt product reviews program enables you to support fellow scientists by sharing your firsthand experience with our products.
Login to Submit a Review