You have no items in your shopping cart.
ACK1 (Phospho-Tyr284) Antibody
Description
Research Area
Images & Validation
−| Tested Applications | IF, IHC, WB |
|---|---|
| Dilution Range | WB: 1:500-1:3000, IHC-P: 1:50-1:100, IF/ICC: 1:100-1:500, ELISA: 1:10000 |
| Reactivity | Human, Mouse |
Key Properties
−| Host | Rabbit |
|---|---|
| Clonality | Polyclonal |
| Immunogen | Internal |
| Conjugation | Unconjugated |
Storage & Handling
−| Storage | Maintain refrigerated at 2-8°C for up to 2 weeks. For long term storage store at -20°C in small aliquots to prevent freeze-thaw cycles. |
|---|---|
| Concentration | 1mg/ml |
| Expiration Date | 12 months from date of receipt. |
| Disclaimer | For research use only |
Alternative Names
−Similar Products
−ACK1 (Phospho-Tyr284) Antibody [orb191531]
IF, IHC, WB
Human, Mouse
Rabbit
Polyclonal
Unconjugated
50 μl, 100 μlACK1 (Phospho-Tyr284) Polyclonal Conjugated Antibody [orb1630858]
Human, Mouse
Rabbit
Polyclonal
Biotin
100 μl

Quality Guarantee
Explore bioreagents carefree to elevate your research. All our products are rigorously tested for performance. If a product does not perform as described on its datasheet, our scientific support team will provide expert troubleshooting, a prompt replacement, or a refund. For full details, please see our Terms & Conditions and Buying Guide. Contact us at support@biorbyt.com.
_antibody_orb127291_wb_1.jpg)
Western blot analysis of extracts from HepG2 cells using ACK1 (phospho-Tyr284) antibody
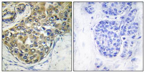
_antibody_orb127291_ihc_p_1.jpg)
Immunohistochemical analysis of formalin-fixed and paraffin-embedded human breast carcinoma tissue using ACK1 (phospho-Tyr284) antibody
_antibody_orb127291_if_1.jpg)
Confocal immunofluorescence analysis of A549 cells using ACK1 (phospho-Tyr284) antibody
Quick Database Links
UniProt Details
−Documents Download
Request a Document
Protocol Information
ACK1 (Phospho-Tyr284) Antibody (orb127291)
Participating in our Biorbyt product reviews program enables you to support fellow scientists by sharing your firsthand experience with our products.
Login to Submit a Review