You have no items in your shopping cart.
ACVR1C Antibody
Description
Research Area
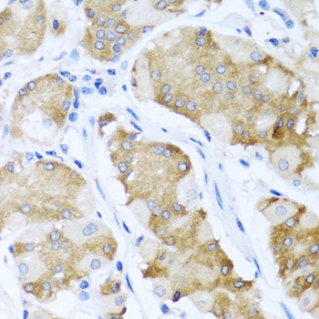
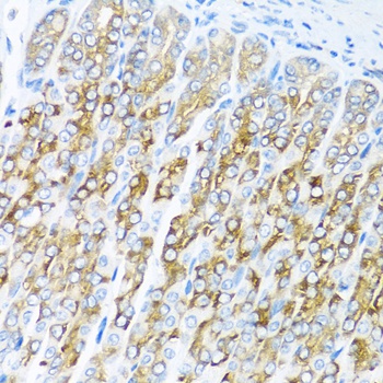
Images & Validation
−
| Tested Applications | ELISA, IF, IHC |
|---|---|
| Dilution Range | IHC-P: 1:100-1:300, IF: 1:200-1:1000, ELISA: 1:20000 |
| Reactivity | Human, Mouse, Rat |
Key Properties
−| Host | Rabbit |
|---|---|
| Clonality | Polyclonal |
| Isotype | IgG |
| Immunogen | Synthesized peptide derived from the Internal region of Human ACTR-IC. |
| Target | ACVR1C |
| Purification | The antibody was affinity-purified from rabbit antiserum by affinity-chromatography using epitope-specific immunogen. |
| Conjugation | Unconjugated |
Storage & Handling
−| Storage | Maintain refrigerated at 2-8°C for up to 2 weeks. For long term storage store at -20°C in small aliquots to prevent freeze-thaw cycles. |
|---|---|
| Form/Appearance | Liquid |
| Buffer/Preservatives | Liquid in PBS containing 50% glycerol, 0.5% rAlbumin and 0.02% sodium azide. |
| Expiration Date | 12 months from date of receipt. |
| Disclaimer | For research use only |
Alternative Names
−Similar Products
−Activin A Receptor Type IC Rabbit Polyclonal Antibody [orb101447]
FC, WB
Bovine, Canine, Porcine, Rabbit
Human, Mouse, Rat
Rabbit
Polyclonal
Unconjugated
50 μl, 100 μl, 200 μlACTR-IC rabbit pAb Antibody [orb767629]
ELISA, IF, IHC
Human, Mouse, Rat
Polyclonal
Unconjugated
50 μl, 100 μlActivin A Receptor Type IC (ACVR1C) Antibody (N-term A48) [orb1929554]
IHC-P, WB
Mouse
Human
Rabbit
Polyclonal
Unconjugated
100 μl, 50 μlMouse Acvr1c Antibody (C-term) [orb1935655]
WB
Human, Rat
Mouse
Rabbit
Polyclonal
Unconjugated
100 μl, 50 μl

Quality Guarantee
Explore bioreagents carefree to elevate your research. All our products are rigorously tested for performance. If a product does not perform as described on its datasheet, our scientific support team will provide expert troubleshooting, a prompt replacement, or a refund. For full details, please see our Terms & Conditions and Buying Guide. Contact us at support@biorbyt.com.
Quick Database Links
UniProt Details
−Documents Download
Request a Document
Protocol Information
ACVR1C Antibody (orb673252)
Participating in our Biorbyt product reviews program enables you to support fellow scientists by sharing your firsthand experience with our products.
Login to Submit a Review











