You have no items in your shopping cart.
AFX (Phospho-Ser197) Antibody
Description
Images & Validation
−| Tested Applications | IF, IHC, WB |
|---|---|
| Reactivity | Human, Mouse, Rat |
Key Properties
−| Antibody Type | Primary Antibody |
|---|---|
| Host | Rabbit |
| Clonality | Polyclonal |
| Conjugation | Unconjugated |
Storage & Handling
−| Storage | Maintain refrigerated at 2-8°C for up to 2 weeks. For long term storage store at -20°C in small aliquots to prevent freeze-thaw cycles. |
|---|---|
| Expiration Date | 12 months from date of receipt. |
| Disclaimer | For research use only |
Similar Products
−FoxO4 (phospho Ser197) rabbit pAb Antibody [orb764191]
ELISA, IF, IHC, WB
Human, Mouse
Polyclonal
Unconjugated
100 μl, 50 μlAFX (Phospho-Ser197) Antibody [orb223007]
IHC, WB
Human, Mouse
Rabbit
Polyclonal
Unconjugated
50 μg, 100 μg, 200 μg, 25 μgFoxO4 (phospho Ser197) Polyclonal Antibody [orb1415405]
IHC-P, WB
Human, Mouse
Rabbit
Polyclonal
Unconjugated
100 μlPhospho-FOXO4 (Ser197) Rabbit Polyclonal Antibody (HRP) [orb503503]
WB
Bovine, Canine, Equine, Gallus, Porcine, Rabbit, Rat
Human, Mouse
Rabbit
Polyclonal
HRP
100 μlPhospho-FOXO4 (Thr451) Rabbit Polyclonal Antibody [orb156939]
IF, IHC-Fr, IHC-P
Canine, Human, Mouse, Porcine, Rabbit
Rat
Rabbit
Polyclonal
Unconjugated
50 μl, 100 μl, 200 μl

Quality Guarantee
Explore bioreagents carefree to elevate your research. All our products are rigorously tested for performance. If a product does not perform as described on its datasheet, our scientific support team will provide expert troubleshooting, a prompt replacement, or a refund. For full details, please see our Terms & Conditions and Buying Guide. Contact us at support@biorbyt.com.

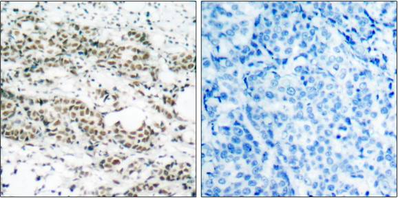
Immunohistochemical analysis of paraffin embedded human breast carcinoma tissue using AFX (phospho-Ser197) antibody

Immunohistochemical analysis of paraffin embedded human breast carcinoma tissue using AFX (phospho-Ser197) antibody

Western blot analysis of extracts from 293 cells using AFX antibody (orb14560, Lane 1 and 2) and AFX (phospho-Ser197) antibody (orb14856, Lane 3 and 4)

Immunofluorescence staining of methanol-fixed MCF7 cells using AFX (phospho-Ser197) antibody (Red)
Quick Database Links
UniProt Details
−Documents Download
Request a Document
Protocol Information
AFX (Phospho-Ser197) Antibody (orb14856)
Participating in our Biorbyt product reviews program enables you to support fellow scientists by sharing your firsthand experience with our products.
Login to Submit a Review








