You have no items in your shopping cart.
HLA-DR/DP Antibody
Description
Images & Validation
−| Tested Applications | FC, IHC-P, IP, WB |
|---|---|
| Reactivity | Human |
| Application Notes |
Key Properties
−| Antibody Type | Primary Antibody |
|---|---|
| Clonality | Monoclonal |
| Isotype | Mouse IgG1 |
| Clone No. | MEM-136 |
| Immunogen | PHA-activated peripheral blood lymphocytes. |
| Target | HLA-DR/DP |
| Purification | Purified by protein-A affinity chromatography. |
| Conjugation | Unconjugated |
Storage & Handling
−| Storage | Maintain refrigerated at 2-8°C for up to 2 weeks. For long term storage store at -20°C in small aliquots to prevent freeze-thaw cycles. |
|---|---|
| Buffer/Preservatives | Phosphate buffered saline (PBS), pH 7.4, 15 mM sodium azide |
| Concentration | 1 mg/ml |
| Expiration Date | 12 months from date of receipt. |
| Disclaimer | For research use only |
Similar Products
−
Quality Guarantee
Explore bioreagents carefree to elevate your research. All our products are rigorously tested for performance. If a product does not perform as described on its datasheet, our scientific support team will provide expert troubleshooting, a prompt replacement, or a refund. For full details, please see our Terms & Conditions and Buying Guide. Contact us at support@biorbyt.com.

Western blotting analysis of MHC Class II in whole cell lysate of RAJI human Burkitt lymphoma cell line using anti-human HLA-DR+DP (MEM-136). The antibody MEM-136 recognizes β-chain of HLA-DR antigen under non-reducing conditions. Lane 1: immunostaining with anti-human HLA-DR+DP (MEM-136); Lane 2: immunostaining with Isotype mouse IgG1 control (PPV-06; orb43531)

Separation of human HLA-DR/DP positive lymphocytes (red-filled) from neutrophil granulocytes (black-dashed) in flow cytometry analysis (surface staining) of human peripheral whole blood stained using anti-human HLA-DR/DP (MEM-136) purified antibody (concentration in sample 4 µg/ml) GAM APC.

Flow cytometry surface staining pattern of human peripheral whole blood stained using anti-human HLA-DR/DP (MEM-136) purified antibody (concentration in sample 4 µg/ml) GAM APC.

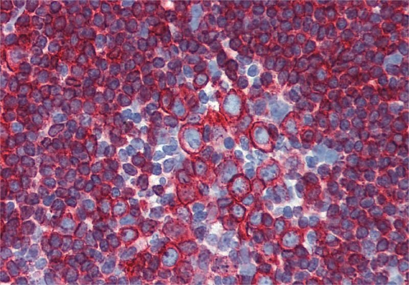
Immunohistochemistry staining of human small intestine (paraffin-embedded sections) with anti-HLA-DR+DP (MEM-136).

Anti-HLA-DR/DP (clone MEM-136) works in WB application under reducing and non-reducing conditions. Western blotting analysis was performed on whole cell extracts (RIPA lysis buffer) of Raji and Jurkat cell lines, mixed and heated (100°C, 5 min) with reducing and non-reducing SDS-loading buffer. Samples were resolved using 10% Tris-glycine SDS gel electrophoresis. Nitrocellulose membrane blot was probed with mouse IgG1 monoclonal antibody MEM-136 (1 µg/ml), followed by IRDye 800CW Goat-anti-Mouse IgG (green). Multiplex fluorescent Western blot detection was performed. HLA-DR/DP molecules were detected at ~25 kDa in Raji cell line.
Documents Download
Request a Document
Protocol Information
HLA-DR/DP Antibody (orb44064)
Participating in our Biorbyt product reviews program enables you to support fellow scientists by sharing your firsthand experience with our products.
Login to Submit a Review








