You have no items in your shopping cart.
NSE gamma Antibody
Description
Research Area
Images & Validation
−| Tested Applications | FC, IF, IHC-P, WB |
|---|---|
| Reactivity | Human, Mouse, Rat |
Key Properties
−| Antibody Type | Primary Antibody |
|---|---|
| Host | Mouse |
| Clonality | Monoclonal |
| Clone No. | ENO2/1375 |
| Conjugation | Unconjugated |
Storage & Handling
−| Storage | Maintain refrigerated at 2-8°C for up to 2 weeks. For long term storage store at -20°C in small aliquots to prevent freeze-thaw cycles |
|---|---|
| Expiration Date | 12 months from date of receipt. |
| Disclaimer | For research use only |
Alternative Names
−Similar Products
−NSE Recombinant Rabbit Monoclonal Antibody [orb1816767]
IF, IHC-Fr, IHC-P, WB
Mouse, Rat
Human, Mouse, Rat
Rabbit
Recombinant
Unconjugated
25 μl, 50 μl, 100 μlNSE/ENO2 Rabbit Polyclonal Antibody [orb443177]
FC, ICC, IF, IHC, WB
Human, Mouse, Rat
Rabbit
Polyclonal
Unconjugated
100 μgENO2 Antibody [orb388068]
IHC, WB
Human, Mouse, Rat
Mouse
Monoclonal
Unconjugated
20 μg, 100 μg, 100 μg (without BSA and Azide)

Quality Guarantee
Explore bioreagents carefree to elevate your research. All our products are rigorously tested for performance. If a product does not perform as described on its datasheet, our scientific support team will provide expert troubleshooting, a prompt replacement, or a refund. For full details, please see our Terms & Conditions and Buying Guide. Contact us at support@biorbyt.com.

Western Blot of Y79, HeLa and HepG2 Cell Lysate using NSE, gamma Monoclonal Antibody (ENO2/1375).

Formalin-fixed, paraffin-embedded Mouse Pancreas stained with NSE gamma Monoclonal Antibody (ENO2/1375).

Formalin-fixed, paraffin-embedded Human Cerebellum stained with NSE gamma Monoclonal Antibody (ENO2/1375).

Formalin-fixed, paraffin-embedded Human Pheochromocytoma stained with NSE gamma Monoclonal Antibody (ENO2/1375).

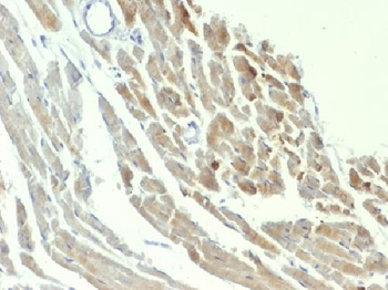
Formalin-fixed, paraffin-embedded Rat Heart stained with Formalin-fixed, paraffin-embedded Rat Heart stained with NSE gamma Monoclonal Antibody (ENO2/1375).
Quick Database Links
UniProt Details
−Documents Download
Request a Document
Protocol Information
NSE gamma Antibody (orb1789390)
Participating in our Biorbyt product reviews program enables you to support fellow scientists by sharing your firsthand experience with our products.
Login to Submit a Review



























