You have no items in your shopping cart.
APP Antibody
Description
Images & Validation
−| Tested Applications | ELISA, IF, IHC, WB |
|---|---|
| Dilution range | WB:1:1000-1:5000, IHC-P:1:20-1:200, IF:1:50-1:200 |
| Reactivity | Human, Mouse |
Key Properties
−| Host | Rabbit |
|---|---|
| Clonality | Polyclonal |
| Isotype | IgG |
| Immunogen | Recombinant Human Amyloid-beta A4 protein (18-270AA) |
| Target | APP |
| Purification | >95%, Protein G purified |
| Conjugation | Unconjugated |
Storage & Handling
−| Storage | Maintain refrigerated at 2-8°C for up to 2 weeks. For long term storage store at -20°C in small aliquots to prevent freeze-thaw cycles. |
|---|---|
| Form/Appearance | Liquid |
| Buffer/Preservatives | Preservative: 0.03% Proclin 300. Constituents: 50% Glycerol |
| Disclaimer | For research use only |
Alternative Names
−Similar Products
−APP-1/PABPC4 Antibody [orb1173479]
FC, ICC, IF, IHC, WB
Human, Mouse, Rat
Rabbit
Polyclonal
Unconjugated
100 μgbeta Amyloid/APP Antibody [orb196261]
ICC, IF, IHC, WB
Human, Mouse, Rat
Rabbit
Polyclonal
Unconjugated
100 μgAPPBP1 Rabbit Polyclonal Antibody [orb155706]
IF, IHC-Fr, IHC-P, WB
Canine, Equine, Porcine, Rabbit
Human, Mouse, Rat
Rabbit
Polyclonal
Unconjugated
100 μl, 200 μl, 50 μlBACE1 Rabbit Polyclonal Antibody [orb10164]
ICC, IF, IHC-Fr, IHC-P, WB
Canine, Gallus, Guinea pig, Porcine, Rabbit
Human, Mouse, Rat
Rabbit
Polyclonal
Unconjugated
100 μl, 200 μl, 50 μl

Quality Guarantee
Explore bioreagents carefree to elevate your research. All our products are rigorously tested for performance. If a product does not perform as described on its datasheet, our scientific support team will provide expert troubleshooting, a prompt replacement, or a refund. For full details, please see our Terms & Conditions and Buying Guide. Contact us at support@biorbyt.com.

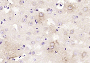
Immunohistochemical staining of human brain tissue using Amyloid beta A4 protein antibody

Immunofluorescence analysis of HepG2 cells using Amyloid beta A4 protein antibody

Immunofluorescence analysis of Hela cells using Amyloid beta A4 protein antibody

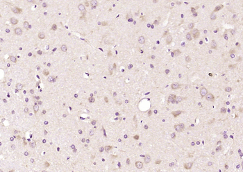
Immunohistochemical staining of human brain tissue using Amyloid beta A4 protein antibody

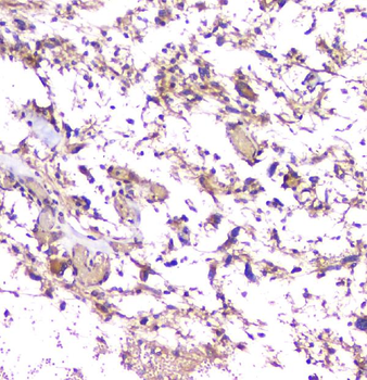
Immunohistochemical staining of human testis tissue using Amyloid beta A4 protein antibody

Western blot analysis of Mouse brain tissue(lane 1), Mouse kidney tissue(lane 2), Mouse lung tissue(lane 3), 293 whole cell lysate(lane 4), A549 whole cell lysate(lane 5), U251 whole cell lysate(lane 6), SH-SY5Y whole cell lysate(lane 7) using Amyloid bet
Quick Database Links
UniProt Details
−Documents Download
Request a Document
Protocol Information
APP Antibody (orb242610)
Participating in our Biorbyt product reviews program enables you to support fellow scientists by sharing your firsthand experience with our products.
Login to Submit a Review



























