You have no items in your shopping cart.
ataxin 3 Antibody
Description
Research Area
Images & Validation
−| Tested Applications | IHC-P, IP, WB |
|---|---|
| Dilution Range | WB: 1:500-1:3000 , IF: 1:100-1:1000 , IHC-P: 1:100-1:1000 |
| Reactivity | Human, Mouse, Zebrafish |
| Application Notes |
Key Properties
−| Antibody Type | Primary Antibody |
|---|---|
| Host | Rabbit |
| Clonality | Polyclonal |
| Isotype | IgG |
| Immunogen | Recombinant protein encompassing a sequence within the center region of human Ataxin 3. The exact sequence is proprietary. |
| Target | Ataxin 3 |
| Molecular Weight | 42 |
| Purity | Purified by antigen-affinity chromatography. |
| Purification | Purified by antigen-affinity chromatography. |
| Conjugation | Unconjugated |
Storage & Handling
−| Storage | Store as concentrated solution. Centrifuge briefly prior to opening vial. For short-term storage (1-2 weeks), store at 4°C. For long-term storage, aliquot and store at -20°lC or below. Avoid multiple freeze-thaw cycles. |
|---|---|
| Form/Appearance | Liquid: 1XPBS, 20% Glycerol (pH7). 0.025% ProClin 300 was added as a preservative. |
| Buffer/Preservatives | PBS, 1% rAlbumin, 20% Glycerol, 0.025% ProClin 300. |
| Concentration | 0.98 mg/ml |
| Expiration Date | 12 months from date of receipt. |
| Disclaimer | For research use only |
Alternative Names
−Similar Products
−Ataxin 3/ATXN3 Rabbit Polyclonal Antibody [orb259600]
FC, ICC, IF, IHC, WB
Human, Rat
Rabbit
Polyclonal
Unconjugated
100 μgAtaxin 3 Rabbit Polyclonal Antibody [orb182425]
IF, IHC-Fr, IHC-P
Bovine, Canine, Equine, Porcine, Sheep
Human, Mouse, Rat
Rabbit
Polyclonal
Unconjugated
50 μl, 100 μl, 200 μl

Quality Guarantee
Explore bioreagents carefree to elevate your research. All our products are rigorously tested for performance. If a product does not perform as described on its datasheet, our scientific support team will provide expert troubleshooting, a prompt replacement, or a refund. For full details, please see our Terms & Conditions and Buying Guide. Contact us at support@biorbyt.com.

Immunofluorescence analysis of 293T cells using Ataxin 3 antibody

Immunofluorescence analysis of SK-N-SH cells using Ataxin 3 antibody

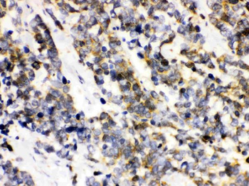
Immunohistochemical staining of H661 xenograft using Ataxin 3 antibody

Western blot analysis of Various whole cell using Ataxin 3 antibody

Western blot analysis of Mouse tissue using Ataxin 3 antibody
Quick Database Links
UniProt Details
−Documents Download
Request a Document
Protocol Information
ataxin 3 Antibody (orb556940)
Participating in our Biorbyt product reviews program enables you to support fellow scientists by sharing your firsthand experience with our products.
Login to Submit a Review














