You have no items in your shopping cart.
BAD (Phospho-Ser136) Antibody
Description
Images & Validation
−| Tested Applications | IHC, WB |
|---|---|
| Reactivity | Human, Mouse, Rat |
Key Properties
−| Antibody Type | Primary Antibody |
|---|---|
| Host | Rabbit |
| Clonality | Polyclonal |
| Conjugation | Unconjugated |
Storage & Handling
−| Storage | Maintain refrigerated at 2-8°C for up to 2 weeks. For long term storage store at -20°C in small aliquots to prevent freeze-thaw cycles. |
|---|---|
| Expiration Date | 12 months from date of receipt. |
| Disclaimer | For research use only |
Similar Products
−Bad (phospho Ser136) Polyclonal Antibody [orb1415467]
IHC-P, WB
Human, Mouse, Rat
Rabbit
Polyclonal
Unconjugated
100 μlBAD (Phospho-Ser136) Antibody [orb222963]
IHC, WB
Human, Mouse, Rat
Rabbit
Polyclonal
Unconjugated
50 μg, 25 μg, 100 μg, 200 μgAnti-BAD (Phospho-Ser136) Antibody [orb1148936]
IHC, WB
Human, Mouse, Rat
Rabbit
Polyclonal
Unconjugated
100 μlBAD (Phospho-Ser136) Polyclonal Conjugated Antibody [orb1631100]
Human, Mouse, Rat
Rabbit
Polyclonal
Biotin
100 μl

Quality Guarantee
Explore bioreagents carefree to elevate your research. All our products are rigorously tested for performance. If a product does not perform as described on its datasheet, our scientific support team will provide expert troubleshooting, a prompt replacement, or a refund. For full details, please see our Terms & Conditions and Buying Guide. Contact us at support@biorbyt.com.

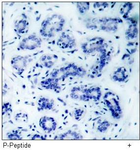
Immunohistochemical analysis of paraffin-embedded human breast carcinoma tissue using BAD (phospho-Ser136) antibody

Immunohistochemical analysis of paraffin-embedded human breast carcinoma tissue using BAD (phospho-Ser136) antibody

Western blot analysis of BAD(Phospho-Ser136) antibody in HT29 cells lysates
Quick Database Links
UniProt Details
−Documents Download
Request a Document
Protocol Information
BAD (Phospho-Ser136) Antibody (orb14794)
Participating in our Biorbyt product reviews program enables you to support fellow scientists by sharing your firsthand experience with our products.
Login to Submit a Review
