You have no items in your shopping cart.
BCL2L13 Antibody
Description
Research Area
Images & Validation
−| Tested Applications | ELISA, IF, IHC, IP, WB |
|---|---|
| Dilution range | WB: 1:1000-1:6000; IP: 1:500-1:3000; IHC: 1:50-1:500; IF: 1:50-1:500 |
| Reactivity | Human, Mouse, Rat |
Key Properties
−| Antibody Type | Primary Antibody |
|---|---|
| Host | Rabbit |
| Clonality | Polyclonal |
| Isotype | IgG |
| Immunogen | BCL2-like 13(apoptosis facilitator) |
| Target | BCL2L13 |
| Molecular Weight | 85kd |
| Purity | ≥95% as determined by SDS-PAGE |
| Purification | Immunogen affinity purified |
| Conjugation | Unconjugated |
Storage & Handling
−| Storage | Maintain refrigerated at 2-8°C for up to 2 weeks. For long term storage store at -20°C in small aliquots to prevent freeze-thaw cycles. |
|---|---|
| Form/Appearance | liquid |
| Disclaimer | For research use only |
Alternative Names
−Similar Products
−BCL2L13 Rabbit Polyclonal Antibody [orb100790]
WB
Canine, Equine, Gallus, Human, Porcine, Rabbit
Mouse
Rabbit
Polyclonal
Unconjugated
50 μl, 100 μl, 200 μlBCL2L13 Antibody [orb1240120]
ELISA, IF, IHC-P, WB
Human, Mouse, Rat
Rabbit
Polyclonal
Unconjugated
0.1 mg, 0.02 mg

Quality Guarantee
Explore bioreagents carefree to elevate your research. All our products are rigorously tested for performance. If a product does not perform as described on its datasheet, our scientific support team will provide expert troubleshooting, a prompt replacement, or a refund. For full details, please see our Terms & Conditions and Buying Guide. Contact us at support@biorbyt.com.

IP Result of anti-BCL2L13 (IP: orb625090, 3 ug; Detection: orb625090 1:100) with mouse heart tissue lysate 8000 ug.

Jurkat cells were subjected to SDS PAGE followed by western blot with orb625090 (BCL2L13 antibody) at dilution of 1:500.

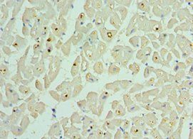
Immunohistochemistry of paraffin-embedded human pancreas using orb625090 (BCL2L13 antibody) at dilution of 1:100.
Quick Database Links
UniProt Details
−Documents Download
Request a Document
Protocol Information
BCL2L13 Antibody (orb625090)
Participating in our Biorbyt product reviews program enables you to support fellow scientists by sharing your firsthand experience with our products.
Login to Submit a Review






