You have no items in your shopping cart.
BMPR1B Antibody
Description
Research Area
Images & Validation
−| Tested Applications | ELISA, IHC |
|---|---|
| Dilution Range | IHC-P: 1: 50-300, ELISA: 1: 10000-20000 |
| Reactivity | Human, Mouse |
Key Properties
−| Host | Rabbit |
|---|---|
| Clonality | Polyclonal |
| Isotype | IgG |
| Immunogen | Synthetic peptide from Human protein at AA range: 21-70 |
| Target | BMPR1B |
| Purification | The antibody was affinity-purified from rabbit serum by affinity-chromatography using specific immunogen. |
| Conjugation | Unconjugated |
Storage & Handling
−| Storage | Maintain refrigerated at 2-8°C for up to 2 weeks. For long term storage store at -20°C in small aliquots to prevent freeze-thaw cycles. |
|---|---|
| Form/Appearance | Liquid |
| Buffer/Preservatives | PBS, pH 7.4, containing 0.02% sodium azide as Preservative and 50% Glycerol. |
| Expiration Date | 12 months from date of receipt. |
| Disclaimer | For research use only |
Alternative Names
−Similar Products
−BMPR1B Rabbit pAb [orb48291]
ELISA, IF, IHC-P, WB
Human, Mouse, Rat
Rabbit
Polyclonal
Unconjugated
Human Bone Morphogenetic Protein Receptor 1B (BMPR1B) ELISA Kit [orb777390]
Human
0.32-20 ng/mL
0.123 ng/mL
96 T, 48 T

Quality Guarantee
Explore bioreagents carefree to elevate your research. All our products are rigorously tested for performance. If a product does not perform as described on its datasheet, our scientific support team will provide expert troubleshooting, a prompt replacement, or a refund. For full details, please see our Terms & Conditions and Buying Guide. Contact us at support@biorbyt.com.

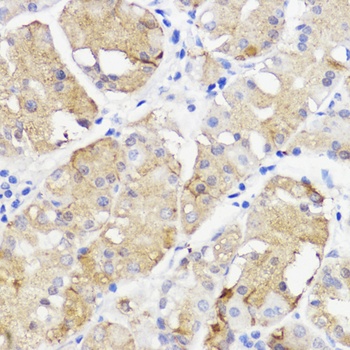
Immunohistochemical staining of Human-placenta using BMPR1B antibody

Immunohistochemical staining of Human-placenta using BMPR1B antibody
Quick Database Links
UniProt Details
−Documents Download
Request a Document
Protocol Information
BMPR1B Antibody (orb676451)
Participating in our Biorbyt product reviews program enables you to support fellow scientists by sharing your firsthand experience with our products.
Login to Submit a Review



















