You have no items in your shopping cart.
c-Jun (Phospho-Ser243) Antibody
Description
Images & Validation
−| Tested Applications | IHC, WB |
|---|---|
| Reactivity | Human, Mouse, Rat |
Key Properties
−| Antibody Type | Primary Antibody |
|---|---|
| Host | Rabbit |
| Clonality | Polyclonal |
| Conjugation | Unconjugated |
Storage & Handling
−| Storage | Maintain refrigerated at 2-8°C for up to 2 weeks. For long term storage store at -20°C in small aliquots to prevent freeze-thaw cycles. |
|---|---|
| Expiration Date | 12 months from date of receipt. |
| Disclaimer | For research use only |
Similar Products
−c-Jun (Phospho-Ser243) Antibody [orb223037]
IHC, IP, WB
Human, Mouse, Rat
Rabbit
Polyclonal
Unconjugated
50 μg, 25 μg, 100 μg, 200 μgAP-1 (phospho Ser243) Antibody [orb2624820]
IHC, IP, WB
Human, Mouse, Rat
Rabbit
Polyclonal
Unconjugated
100 μlAnti-c-Jun (Phospho-Ser243) Antibody [orb1148720]
IHC, WB
Human, Mouse, Rat
Rabbit
Polyclonal
Unconjugated
100 μlc-Jun (Phospho-Ser243) Polyclonal Conjugated Antibody [orb1631129]
Human, Mouse, Rat
Rabbit
Polyclonal
Biotin
100 μl

Quality Guarantee
Explore bioreagents carefree to elevate your research. All our products are rigorously tested for performance. If a product does not perform as described on its datasheet, our scientific support team will provide expert troubleshooting, a prompt replacement, or a refund. For full details, please see our Terms & Conditions and Buying Guide. Contact us at support@biorbyt.com.

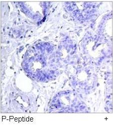
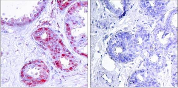
Immunohistochemical analysis of paraffin-embedded human breast carcinoma tissue using c-Jun (phospho-Ser243) antibody

Immunohistochemical analysis of paraffin-embedded human breast carcinoma tissue using c-Jun (phospho-Ser243) antibody

Western blot analysis of extract from HeLa cells untreated or treated with UV using c-Jun (phospho-Ser243) antibody
Quick Database Links
UniProt Details
−Documents Download
Request a Document
Protocol Information
c-Jun (Phospho-Ser243) Antibody (orb14759)
Participating in our Biorbyt product reviews program enables you to support fellow scientists by sharing your firsthand experience with our products.
Login to Submit a Review


