You have no items in your shopping cart.
c-Jun (Phospho-Ser63) Rabbit mAb Antibody
Description
Images & Validation
−| Tested Applications | ICC, IHC, WB |
|---|---|
| Reactivity | Human, Mouse, Rat |
Key Properties
−| Antibody Type | Recombinant Antibody |
|---|---|
| Host | Rabbit |
| Clonality | Monoclonal |
| Conjugation | Unconjugated |
Storage & Handling
−| Storage | Maintain refrigerated at 2-8°C for up to 2 weeks. For long term storage store at -20°C in small aliquots to prevent freeze-thaw cycles. |
|---|---|
| Expiration Date | 12 months from date of receipt. |
| Disclaimer | For research use only |
Similar Products
−c Jun (Phospho-Ser63) Rabbit mAb Antibody [orb1472753]
ICC, IHC, WB
Human, Mouse, Rat
Rabbit
Monoclonal
Unconjugated
100 μl, 50 μl

Quality Guarantee
Explore bioreagents carefree to elevate your research. All our products are rigorously tested for performance. If a product does not perform as described on its datasheet, our scientific support team will provide expert troubleshooting, a prompt replacement, or a refund. For full details, please see our Terms & Conditions and Buying Guide. Contact us at support@biorbyt.com.

Immunofluorescent analysis of HeLa cells treated with anisomycin, using Phospho-c-Jun (S63) Antibody.

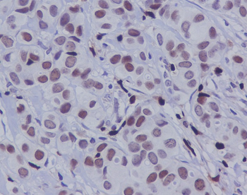
Immunohistochemical analysis of paraffin-embedded human breast carcinoma, using Phospho-c-Jun (S63) Antibody.

Western blot analysis of c-Jun phosphorylation expression in NIH/3T3 cell lysate treated with Anisomycin.
Quick Database Links
UniProt Details
−Documents Download
Request a Document
Protocol Information
c-Jun (Phospho-Ser63) Rabbit mAb Antibody (orb1727708)
Participating in our Biorbyt product reviews program enables you to support fellow scientists by sharing your firsthand experience with our products.
Login to Submit a Review
