You have no items in your shopping cart.
C12orf10 Antibody
Description
Research Area
Images & Validation
−| Tested Applications | IHC |
|---|---|
| Reactivity | Human, Mouse, Rat |
| Application Notes |
Key Properties
−| Antibody Type | Primary Antibody |
|---|---|
| Host | Rabbit |
| Clonality | Polyclonal |
| Isotype | IgG |
| Immunogen | Recombinant fusion protein containing a sequence corresponding to amino acids 48-376 of human C12orf10 (NP_067653.3). |
| Target | C12orf10 |
| Purification | Affinity purification |
| Conjugation | Unconjugated |
Storage & Handling
−| Storage | Maintain refrigerated at 2-8°C for up to 2 weeks. For long term storage store at -20°C in small aliquots to prevent freeze-thaw cycles. |
|---|---|
| Form/Appearance | Liquid |
| Buffer/Preservatives | PBS with 0.02% sodium azide, 50% glycerol, pH 7.3. |
| Concentration | batch dependent |
| Expiration Date | 12 months from date of receipt. |
| Disclaimer | For research use only |
Alternative Names
−Similar Products
−C12orf10 Rabbit Polyclonal Antibody [orb326612]
WB
Equine, Rat
Human
Rabbit
Polyclonal
Unconjugated
100 μlC12orf10 Rabbit Polyclonal Antibody [orb326611]
WB
Bovine, Canine, Equine, Goat, Guinea pig, Mouse, Rabbit, Rat, Yeast, Zebrafish
Human
Rabbit
Polyclonal
Unconjugated
100 μl

Quality Guarantee
Explore bioreagents carefree to elevate your research. All our products are rigorously tested for performance. If a product does not perform as described on its datasheet, our scientific support team will provide expert troubleshooting, a prompt replacement, or a refund. For full details, please see our Terms & Conditions and Buying Guide. Contact us at support@biorbyt.com.

Immunohistochemistry of paraffin-embedded rat testis using C12orf10 antibody (orb1254720) at dilution of 1:100 (40x lens).

Immunohistochemistry of paraffin-embedded rat ovary using C12orf10 antibody (orb1254720) at dilution of 1:100 (40x lens).

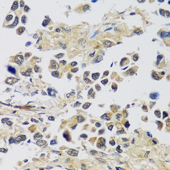
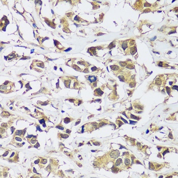
Immunohistochemistry of paraffin-embedded human lung cancer using C12orf10 antibody (orb1254720) at dilution of 1:100 (40x lens).

Immunohistochemistry of paraffin-embedded human breast cancer using C12orf10 antibody (orb1254720) at dilution of 1:100 (40x lens).

Immunohistochemistry of paraffin-embedded human stomach using C12orf10 antibody (orb1254720) at dilution of 1:100 (40x lens).

Immunohistochemistry of paraffin-embedded human uterine cancer using C12orf10 antibody (orb1254720) at dilution of 1:100 (40x lens).

Immunohistochemistry of paraffin-embedded mouse testis using C12orf10 antibody (orb1254720) at dilution of 1:100 (40x lens).

Immunohistochemistry of paraffin-embedded mouse kidney using C12orf10 antibody (orb1254720) at dilution of 1:100 (40x lens).
Quick Database Links
UniProt Details
−Documents Download
Request a Document
C12orf10 Antibody (orb1254720)
Participating in our Biorbyt product reviews program enables you to support fellow scientists by sharing your firsthand experience with our products.
Login to Submit a Review


