You have no items in your shopping cart.
Calcineurin (PPP3CA) Antibody (N-term)
Description
Research Area
Images & Validation
−| Tested Applications | IHC-P, WB |
|---|---|
| Dilution Range | WB: 1:1000, IHC-P: 1:50~100 |
| Reactivity | Human, Mouse |
| Predicted Reactivity | Rat |
Key Properties
−| Antibody Type | Primary Antibody |
|---|---|
| Host | Rabbit |
| Clonality | Polyclonal |
| Isotype | Rabbit IgG |
| Clone No. | RB6001 |
| Target | This Calcineurin (PPP3CA) antibody is generated from rabbits immunized with a KLH conjugated synthetic peptide between 21-51 amino acids from the N-terminal region of human Calcineurin (PPP3CA). |
| Molecular Weight | 58688 Da |
| Conjugation | Unconjugated |
Storage & Handling
−| Storage | Maintain refrigerated at 2-8°C for up to 2 weeks. For long term storage store at -20°C in small aliquots to prevent freeze-thaw cycles |
|---|---|
| Form/Appearance | Purified polyclonal antibody supplied in PBS with 0.09% (W/V) sodium azide. This antibody is prepared by Saturated Ammonium Sulfate (SAS) precipitation followed by dialysis against PBS. |
| Expiration Date | 12 months from date of receipt. |
| Disclaimer | For research use only |
Alternative Names
−Similar Products
−Calcineurin (PPP3CA) Antibody (N-term) [orb39150]
IHC-P, WB
Rat
Human, Mouse
Rabbit
Polyclonal
Unconjugated
80 μlCalcineurin (PPP3CA) Antibody (N-term) [orb3017293]
IHC-P, WB
Rat
Human, Mouse
Rabbit
Polyclonal
Unconjugated

Quality Guarantee
Explore bioreagents carefree to elevate your research. All our products are rigorously tested for performance. If a product does not perform as described on its datasheet, our scientific support team will provide expert troubleshooting, a prompt replacement, or a refund. For full details, please see our Terms & Conditions and Buying Guide. Contact us at support@biorbyt.com.

Western blot analysis of anti-PPP3CA Pab in mouse kidney tissue lysate.PPP3CA (arrow) was detected using the purified Pab.

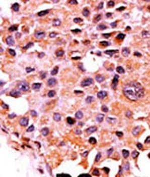
Formalin-fixed and paraffin-embedded human cancer tissue reacted with the primary antibody, which was peroxidase-conjugated to the secondary antibody, followed by AEC staining. This data demonstrates the use of this antibody for immunohistochemistry; clinical relevance has not been evaluated. BC = breast carcinoma; HC = hepatocarcinoma.
Quick Database Links
UniProt Details
−NCBI Reference Sequences
−| Protein | NP_000935.1, NP_001124164.1, NP_001124163.1 |
|---|
Documents Download
Request a Document
Protocol Information
Calcineurin (PPP3CA) Antibody (N-term) (orb1928479)
Participating in our Biorbyt product reviews program enables you to support fellow scientists by sharing your firsthand experience with our products.
Login to Submit a Review

