You have no items in your shopping cart.
Caspase-9 cleaved Asp315 Rabbit Polyclonal Antibody
Description
Research Area
Images & Validation
−| Tested Applications | IF, IHC, WB |
|---|---|
| Dilution Range | Western Blot 1:500, Immunofluorescence 1:300-1:400, Immunohistochemistry (Paraffin) 1:100-1:300 |
| Reactivity | Human |
Key Properties
−| Antibody Type | Primary Antibody |
|---|---|
| Host | Rabbit |
| Clonality | Polyclonal |
| Isotype | Rabbit-IgG |
| Immunogen | Synthetic peptide corresponding to residues surrounding Asp315 of human Caspase 9 |
| Target | Caspase-9 cleaved Asp315 |
| Conjugation | Unconjugated |
Storage & Handling
−| Storage | Maintain refrigerated at 2-8°C for up to 2 weeks. For long term storage store at -20°C in small aliquots to prevent freeze-thaw cycles. |
|---|---|
| Buffer/Preservatives | 100mM Tris Glycine, 20% Glycerol (pH7). 0.025% ProClin 300 was added as a preservative |
| Expiration Date | 12 months from date of receipt. |
| Disclaimer | For research use only |

Quality Guarantee
Explore bioreagents carefree to elevate your research. All our products are rigorously tested for performance. If a product does not perform as described on its datasheet, our scientific support team will provide expert troubleshooting, a prompt replacement, or a refund. For full details, please see our Terms & Conditions and Buying Guide. Contact us at support@biorbyt.com.

All lanes: Anti-Caspase 9 cleaved Asp315 antibody - at 1/500 dilution, Lysates/proteins at 50 µg per lane. This blot was produced using a 12% SDS-PAGE. The gel was run at 140V for 50 minutes before being transferred onto a Nitrocellulose membrane at 18V for 60 minutes. The membrane was then blocked for an hour before being incubated with orb1294352 overnight at 4°C.

All lanes: Anti-Caspase 9 cleaved Asp315 antibody - at 1/500 dilution, Lysates/proteins at 50 µg per lane. This blot was produced using a 12% SDS-PAGE. The gel was run at 140V for 50 minutes before being transferred onto a Nitrocellulose membrane at 18V for 60 minutes. The membrane was then blocked for an hour before being incubated with orb1294352 overnight at 4°C.

Immunofluorescence: cells were fixed with 4% paraformaldehyde for 10 min at RT, permeabilized with 0.1% NP-40 for 10 min at RT then blocked with 5% BSA for 30 min at room temperature. Cells were stained with orb1294352 anti-Caspase 9 cleaved Asp315 antibody (red) at 1:400 and 4°C. DAPI (blue) was used as the nuclear counter stain.

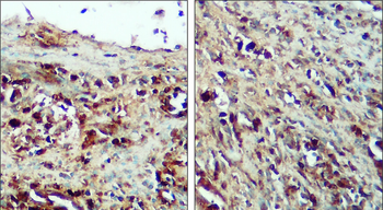
Immunohistochemical analysis of paraffin embedded Human cancer tissue labeling Caspase 9 cleaved Asp315 with orb1294352 at 1/200.
Quick Database Links
Documents Download
Request a Document
Protocol Information
Caspase-9 cleaved Asp315 Rabbit Polyclonal Antibody (orb1294352)
Participating in our Biorbyt product reviews program enables you to support fellow scientists by sharing your firsthand experience with our products.
Login to Submit a Review