You have no items in your shopping cart.
CD227/MUC1 (Phospho-Tyr1229) Antibody
Description
Research Area
Images & Validation
−| Tested Applications | IF, IHC, WB |
|---|---|
| Dilution Range | WB: 1:500-1:3000, IHC-P: 1:50-1:100, IF/ICC: 1:100-1:500, ELISA: 1:1000 |
| Reactivity | Human |
Key Properties
−| Host | Rabbit |
|---|---|
| Clonality | Polyclonal |
| Immunogen | C-terminal |
| Conjugation | Unconjugated |
Storage & Handling
−| Storage | Maintain refrigerated at 2-8°C for up to 2 weeks. For long term storage store at -20°C in small aliquots to prevent freeze-thaw cycles. |
|---|---|
| Concentration | 1mg/ml |
| Expiration Date | 12 months from date of receipt. |
| Disclaimer | For research use only |
Alternative Names
−Similar Products
−Mucin 1 (phospho Tyr1229) Antibody [orb2625218]
ICC, IHC, WB
Human
Rabbit
Polyclonal
Unconjugated
100 μlCD227/MUC1 (Phospho-Tyr1229) Antibody [orb2629019]
IF, IHC, WB
Human
Rabbit
Polyclonal
Unconjugated
CD227/MUC1(Phospho-Tyr1229)polyclonal antibody [orb752239]
ELISA, IF, IHC-P, WB
Human
Rabbit
Polyclonal
Unconjugated
100 μl, 50 μlCD227/MUC1 (Phospho-Tyr1229) Antibody [orb191561]
IF, IHC, WB
Human
Rabbit
Polyclonal
Unconjugated
50 μl, 100 μl

Quality Guarantee
Explore bioreagents carefree to elevate your research. All our products are rigorously tested for performance. If a product does not perform as described on its datasheet, our scientific support team will provide expert troubleshooting, a prompt replacement, or a refund. For full details, please see our Terms & Conditions and Buying Guide. Contact us at support@biorbyt.com.
_antibody_orb126003_wb_1.jpg)
Western blot analysis of extracts from HepG2 cells using CD227-MUC1 (phospho-Tyr1229) antibody
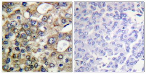
_antibody_orb126003_ihc_p_1.jpg)
Immunohistochemical analysis of formalin-fixed and paraffin-embedded human breast carcinoma tissue using CD227-MUC1 (phospho-Tyr1229) antibody
_antibody_orb126003_if_1.jpg)
Confocal immunofluorescence analysis of HepG2 cells using CD227-MUC1 (phospho-Tyr1229) antibody
Quick Database Links
UniProt Details
−Documents Download
Request a Document
Protocol Information
CD227/MUC1 (Phospho-Tyr1229) Antibody (orb126003)
Participating in our Biorbyt product reviews program enables you to support fellow scientists by sharing your firsthand experience with our products.
Login to Submit a Review