You have no items in your shopping cart.
CD3 epsilon Rabbit mAb
Description
Research Area
Images & Validation
−| Tested Applications | IHC-P, IP, WB |
|---|---|
| Dilution Range | WB: 1/500-1/1000 IHC: 1/50-1/100 IP: 1/20 |
| Reactivity | Human |
Key Properties
−| Antibody Type | Primary Antibody |
|---|---|
| Clonality | Monoclonal |
| Isotype | IgG |
| Clone No. | R02-1B5 |
| Immunogen | A synthetic peptide of human CD3 epsilon |
| Target | CD3E |
| Molecular Weight | Calculated MW: 23 kDa; Observed MW: 23 kDa |
| Purification | Affinity Purified |
| Conjugation | Unconjugated |
Storage & Handling
−| Storage | Maintain refrigerated at 2-8°C for up to 2 weeks. For long term storage store at -20°C in small aliquots to prevent freeze-thaw cycles. |
|---|---|
| Form/Appearance | Liquid |
| Buffer/Preservatives | 50mM Tris-Glycine(pH 7.4), 0.15M NaCl, 40%Glycerol, 0.01% sodium azide and 0.05% rAlbumin. |
| Concentration | 0.3 mg/ml |
| Expiration Date | 12 months from date of receipt. |
| Disclaimer | For research use only |
Alternative Names
−Similar Products
−CD3 epsilon Rabbit mAb Antibody [orb1951625]
FC, IHC, IP, WB
Human
Rabbit
Monoclonal
Unconjugated
100 μl, 50 μlCD3 epsilon Rabbit mAb Antibody [orb1951806]
ICC, IHC, IP
Human
Rabbit
Monoclonal
Unconjugated
100 μl, 50 μlCD3 epsilon Recombinant Rabbit mAb [orb2325131]
FC, IHC, IP, WB
Human
Rabbit
Recombinant
Unconjugated
25 μl, 50 μl, 100 μlCD3 epsilon Recombinant Rabbit mAb [orb2325709]
FC, IP, WB
Human
Rabbit
Recombinant
Unconjugated
25 μl, 50 μl, 100 μl

Quality Guarantee
Explore bioreagents carefree to elevate your research. All our products are rigorously tested for performance. If a product does not perform as described on its datasheet, our scientific support team will provide expert troubleshooting, a prompt replacement, or a refund. For full details, please see our Terms & Conditions and Buying Guide. Contact us at support@biorbyt.com.

Western blot analysis of CD3 epsilon in Jurkat lysates using CD3 epsilon antibody.

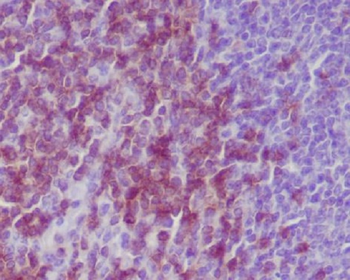
Immunohistochemistry analysis of paraffin-embedded Human tonsil using CD3 epsilon antibody. High-pressure and temperature Sodium Citrate pH 6.0 was used for antigen retrieval.
Quick Database Links
UniProt Details
−Documents Download
Request a Document
Protocol Information
CD3 epsilon Rabbit mAb (orb1565123)
Participating in our Biorbyt product reviews program enables you to support fellow scientists by sharing your firsthand experience with our products.
Login to Submit a Review




