You have no items in your shopping cart.
Description
Research Area
Images & Validation
−| Tested Applications | FC, IF, IHC, WB |
|---|---|
| Dilution Range | Western Blot 1:500 – 1:1000, Immunofluorescence 1:300 – 1:400, Immunohistochemistry (Paraffin) 1:300 – 1:500, Flow Cytometry 1:100 – 1:200 |
| Reactivity | Human |
Key Properties
−| Antibody Type | Primary Antibody |
|---|---|
| Host | Rabbit |
| Clonality | Polyclonal |
| Isotype | Rabbit-IgG |
| Immunogen | Synthetic peptide / Extracellular domain corresponding to Human CD3 |
| Target | CD3 |
| Conjugation | Unconjugated |
Storage & Handling
−| Storage | Maintain refrigerated at 2-8°C for up to 2 weeks. For long term storage store at -20°C in small aliquots to prevent freeze-thaw cycles. |
|---|---|
| Buffer/Preservatives | 100mM Tris Glycine, 20% Glycerol (pH7). 0.025% ProClin 300 was added as a preservative |
| Expiration Date | 12 months from date of receipt. |
| Disclaimer | For research use only |
Similar Products
−CD3 Rabbit Polyclonal Antibody [orb348965]
IHC-P, WB
Human, Mouse, Rat
Rabbit
Polyclonal
Unconjugated
100 μgCD3 Intracellular domain Rabbit Polyclonal Antibody [orb1294242]
IF, IHC, WB
Human, Mouse, Rat
Rabbit
Polyclonal
Unconjugated
100 μl, 25 μlCD3 epsilon/CD3E Rabbit Polyclonal Antibody [orb196263]
ICC, IF, IHC, IHC-Fr, WB
Gallus, Human, Mouse, Rat
Rabbit
Polyclonal
Unconjugated
100 μgCD3E Rabbit Polyclonal Antibody [orb378203]
IHC-P
Human, Mouse, Rat
Rabbit
Polyclonal
Unconjugated
100 μgCD3E Rabbit Polyclonal Antibody [orb10313]
IF, IHC-Fr, IHC-P, WB
Human, Rat
Mouse
Rabbit
Polyclonal
Unconjugated
200 μl, 50 μl, 100 μl

Quality Guarantee
Explore bioreagents carefree to elevate your research. All our products are rigorously tested for performance. If a product does not perform as described on its datasheet, our scientific support team will provide expert troubleshooting, a prompt replacement, or a refund. For full details, please see our Terms & Conditions and Buying Guide. Contact us at support@biorbyt.com.

Anti-CD3 antibody at 1/500 dilution, Lysates at 50 µg per lane. This blot was produced using a 12% SDS-PAGE. NC membrane was then blocked for an hour before being incubated with orb1294297 overnight at 4°C.

Cells were fixed with 4% PFA for 10 min, permeabilized with 0.1% NP-40 for 10 min then blocked with 5% BSA for 30 min. orb1294297 anti-CD3 antibody (red) at 1:300 and 4°C. DAPI (blue) was used as the nuclear counter stain.

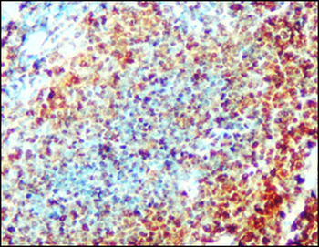
Immunohistochemical analysis of paraffin embedded Human cancer tissue labeling CD3 with orb1294297 at 1/400.

CD3 antibody, orb1294297, Cell: Human peripheral blood, CD3 antibody: 1-100.
Quick Database Links
Documents Download
Request a Document
Protocol Information
CD3 Rabbit Polyclonal Antibody (orb1294297)
Participating in our Biorbyt product reviews program enables you to support fellow scientists by sharing your firsthand experience with our products.
Login to Submit a Review
































