You have no items in your shopping cart.
CD4 Rabbit Polyclonal Antibody
Description
Research Area
Images & Validation
−| Tested Applications | WB |
|---|---|
| Dilution Range | WB=1:500-2000 |
| Reactivity | Human, Mouse, Rat |
| Predicted Reactivity | Bovine, Canine, Guinea pig, Porcine, Sheep |
Key Properties
−| Antibody Type | Primary Antibody |
|---|---|
| Host | Rabbit |
| Clonality | Polyclonal |
| Isotype | IgG |
| Immunogen | KLH conjugated synthetic peptide derived from human CD4 (385-457/457aa) |
| Target | CD4 |
| Molecular Weight | 48 kDa |
| Purification | Affinity purified by Protein A |
| Conjugation | Unconjugated |
Storage & Handling
−| Storage | Maintain refrigerated at 2-8°C for up to 2 weeks. For long term storage store at -20°C in small aliquots to prevent freeze-thaw cycles. |
|---|---|
| Form/Appearance | Liquid |
| Buffer/Preservatives | 0.01M TBS (pH7.4) with 1% rAlbumin, 0.02% Proclin300 and 50% Glycerol. |
| Concentration | 1mg/ml |
| Expiration Date | 12 months from date of receipt. |
| Disclaimer | For research use only |
Alternative Names
−Similar Products
−CD4 Rabbit Polyclonal Antibody [orb182470]
FC, IF, IHC-Fr, IHC-P, WB
Bovine, Canine, Guinea pig, Rat, Sheep
Human, Mouse, Porcine
Rabbit
Polyclonal
Unconjugated
50 μl, 100 μl, 200 μlCD4 Rabbit Polyclonal Antibody [orb312176]
IF, IHC-Fr, IHC-P, WB
Human, Rat
Human, Mouse, Rat
Rabbit
Polyclonal
Unconjugated
50 μl, 100 μl, 200 μlCD4 (phospho Ser433) rabbit pAb Antibody [orb770862]
ELISA, IF, IHC
Human, Mouse
Polyclonal
Unconjugated
100 μl, 50 μl

Quality Guarantee
Explore bioreagents carefree to elevate your research. All our products are rigorously tested for performance. If a product does not perform as described on its datasheet, our scientific support team will provide expert troubleshooting, a prompt replacement, or a refund. For full details, please see our Terms & Conditions and Buying Guide. Contact us at support@biorbyt.com.

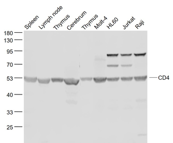
Sample: Spleen (Mouse) Lysate at 40 ug, Lymph node (Mouse) Lysate at 40 ug, Thymus (Mouse) Lysate at 40 ug, Cerebrum (Mouse) Lysate at 40 ug, Thymus (Rat) Lysate at 40 ug, Molt-4 (Human) Cell Lysate at 30 ug, HL60 (Human) Cell Lysate at 30 ug, Jurkat (Human) Cell Lysate at 30 ug, Raji (Human) Cell Lysate at 30 ug, Primary: Anti-CD4 (orb608049) at 1/1000 dilution, Secondary: IRDye800CW Goat Anti-Rabbit IgG at 1/20000 dilution, Predicted band size: 48 kD, Observed band size: 53 kD.
Quick Database Links
UniProt Details
−Documents Download
Request a Document
CD4 Rabbit Polyclonal Antibody (orb608049)
Participating in our Biorbyt product reviews program enables you to support fellow scientists by sharing your firsthand experience with our products.
Login to Submit a Review




















