You have no items in your shopping cart.
cdc25A (Phospho-Ser76) Antibody
Description
Images & Validation
−| Tested Applications | IHC, WB |
|---|---|
| Reactivity | Human, Mouse, Rat |
Key Properties
−| Antibody Type | Primary Antibody |
|---|---|
| Host | Rabbit |
| Clonality | Polyclonal |
| Conjugation | Unconjugated |
Storage & Handling
−| Storage | Maintain refrigerated at 2-8°C for up to 2 weeks. For long term storage store at -20°C in small aliquots to prevent freeze-thaw cycles. |
|---|---|
| Expiration Date | 12 months from date of receipt. |
| Disclaimer | For research use only |
Similar Products
−CDC25A (Phospho-Ser76) Antibody [orb222857]
IHC, WB
Human, Mouse, Rat
Rabbit
Polyclonal
Unconjugated
100 μg, 25 μg, 50 μg, 200 μgPhospho-cdc25A (Ser76) Rabbit Polyclonal Antibody (HRP) [orb503449]
WB
Bovine, Canine, Equine, Rabbit, Rat
Human, Mouse
Rabbit
Polyclonal
HRP
100 μlPhospho-cdc25A (Ser76) Rabbit Polyclonal Antibody (Biotin) [orb502134]
FC, WB
Bovine, Canine, Equine, Rabbit, Rat
Human, Mouse
Rabbit
Polyclonal
Biotin
100 μlPhospho-cdc25A (Ser76) Rabbit Polyclonal Antibody (FITC) [orb8677]
FC
Bovine, Canine, Equine, Rabbit, Rat
Human, Mouse
Rabbit
Polyclonal
FITC
100 μlphospho-cdc25A (Ser76) Rabbit pAb, Pacific Blue conjugated [orb2850347]
FC
Bovine, Canine, Equine, Rabbit, Rat
Human, Mouse
Rabbit
Polyclonal
Pacific Blue
100 μl

Quality Guarantee
Explore bioreagents carefree to elevate your research. All our products are rigorously tested for performance. If a product does not perform as described on its datasheet, our scientific support team will provide expert troubleshooting, a prompt replacement, or a refund. For full details, please see our Terms & Conditions and Buying Guide. Contact us at support@biorbyt.com.

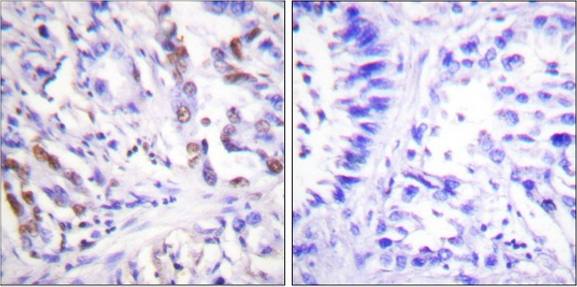
Immunohistochemical analysis of paraffin-embedded human breast carcinoma tissue, using cdc25A (phospho-Ser76) antibody

Immunohistochemical analysis of paraffin-embedded human breast carcinoma tissue, using cdc25A (phospho-Ser76) antibody

Western blot analysis of extracts from A2780 cells using cdc25A antibody (orb14561, Lane 1 and 2) and cdc25A (phospho-Ser76) antibody (orb14857, Lane 3 and 4)
Quick Database Links
UniProt Details
−Documents Download
Request a Document
Protocol Information
cdc25A (Phospho-Ser76) Antibody (orb14857)
Participating in our Biorbyt product reviews program enables you to support fellow scientists by sharing your firsthand experience with our products.
Login to Submit a Review

