You have no items in your shopping cart.
CHMP2B Antibody
Description
Research Area
Images & Validation
−| Tested Applications | ELISA, IF, IHC, WB |
|---|---|
| Dilution range | WB: 1:500 - 1:2000; IHC: 1:50 - 1:200; IF: 1:50 - 1:200 |
| Reactivity | Human, Mouse |
Key Properties
−| Antibody Type | Primary Antibody |
|---|---|
| Host | Rabbit |
| Clonality | Polyclonal |
| Isotype | IgG |
| Immunogen | chromatin modifying protein 2B |
| Target | CHMP2B |
| Molecular Weight | 28 kDa |
| Purity | ≥95% as determined by SDS-PAGE |
| Purification | Immunogen affinity purified |
| Conjugation | Unconjugated |
Storage & Handling
−| Storage | Maintain refrigerated at 2-8°C for up to 2 weeks. For long term storage store at -20°C in small aliquots to prevent freeze-thaw cycles. |
|---|---|
| Form/Appearance | liquid |
| Disclaimer | For research use only |
Similar Products
−CHMP2B Recombinant Rabbit Monoclonal Antibody [orb1499346]
ICC, IF, IHC-Fr, IHC-P, WB
Rat
Human, Mouse, Rat
Rabbit
Recombinant
Unconjugated
100 μl, 50 μlCHMP2B Antibody (N-term) [orb1936778]
IHC-P, WB
Bovine, Mouse
Human
Rabbit
Polyclonal
Unconjugated
100 μl, 50 μlCHMP2B Antibody [orb340906]
IF, IHC, WB
Human, Mouse, Rat
Rabbit
Polyclonal
Unconjugated
200 μl, 30 μl, 50 μl, 100 μl

Quality Guarantee
Explore bioreagents carefree to elevate your research. All our products are rigorously tested for performance. If a product does not perform as described on its datasheet, our scientific support team will provide expert troubleshooting, a prompt replacement, or a refund. For full details, please see our Terms & Conditions and Buying Guide. Contact us at support@biorbyt.com.

SH-SY5Y cells were subjected to SDS PAGE followed by western blot with orb625772 (CHMP2B antibody) at dilution of 1:1000.

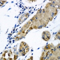
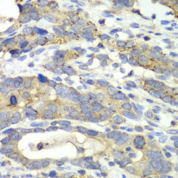
Immunohistochemistry of paraffin-embedded human gastric cancer using orb625772 (CHMP2B antibody) at dilution of 1:50.
Quick Database Links
UniProt Details
−Documents Download
Request a Document
Protocol Information
CHMP2B Antibody (orb625772)
Participating in our Biorbyt product reviews program enables you to support fellow scientists by sharing your firsthand experience with our products.
Login to Submit a Review















