You have no items in your shopping cart.
CHMP4B Rabbit Polyclonal Antibody
Description
Research Area
Images & Validation
−| Tested Applications | WB |
|---|---|
| Reactivity | Human, Mouse |
| Predicted Reactivity | Bovine, Canine, Equine, Guinea pig, Rabbit, Rat, Zebrafish |
Key Properties
−| Host | Rabbit |
|---|---|
| Clonality | Polyclonal |
| Immunogen | The immunogen is a synthetic peptide directed towards the middle region of human CHMP4B |
| Target | CHMP4B |
| Protein Sequence | Synthetic peptide located within the following region: EEISTAISKPVGFGEEFDEDELMAELEELEQEELDKNLLEISGPETVPLP |
| Molecular Weight | 25kDa |
| Purification | Affinity Purified |
| Conjugation | Unconjugated |
Storage & Handling
−| Storage | Maintain refrigerated at 2-8°C for up to 2 weeks. For long term storage store at -20°C in small aliquots to prevent freeze-thaw cycles. |
|---|---|
| Buffer/Preservatives | Liquid. Purified antibody supplied in 1x PBS buffer with 0.09% (w/v) sodium azide and 2% sucrose. |
| Concentration | 0.5 mg/ml |
| Expiration Date | 12 months from date of receipt. |
| Disclaimer | For research use only |
Alternative Names
−Similar Products
−CHMP4B Rabbit Polyclonal Antibody [orb582036]
WB
Bovine, Canine, Equine, Guinea pig, Rabbit, Rat, Zebrafish
Human, Mouse
Rabbit
Polyclonal
Unconjugated
100 μlCHMP4B+CHMP4C Rabbit Polyclonal Antibody [orb100820]
IF, IHC-Fr, IHC-P
Bovine, Canine, Human, Mouse, Porcine, Rabbit
Rat
Rabbit
Polyclonal
Unconjugated
50 μl, 200 μl, 100 μlCHMP4B Rabbit Polyclonal Antibody [orb625773]
ELISA, IHC, WB
Human, Mouse, Rat
Rabbit
Polyclonal
Unconjugated
50 μg, 100 μgCHMP4A Rabbit Polyclonal Antibody [orb585184]
WB
Bovine, Rabbit, Rat
Human
Rabbit
Polyclonal
Unconjugated
100 μlCHMP4B Polyclonal Antibody [orb3150701]
ELISA, IHC, WB
Frog, Gallus, Human, Mouse
Rabbit
Polyclonal
Unconjugated
50 μg, 100 μg

Quality Guarantee
Explore bioreagents carefree to elevate your research. All our products are rigorously tested for performance. If a product does not perform as described on its datasheet, our scientific support team will provide expert troubleshooting, a prompt replacement, or a refund. For full details, please see our Terms & Conditions and Buying Guide. Contact us at support@biorbyt.com.

Sample Tissue: Mouse Skeletal Muscle, Antibody dilution: 1 ug/ml.

Sample Tissue: Human HCT116 Whole Cell, Antibody dilution: 0.5 ug/ml.

Sample Tissue: Human Hela, Antibody dilution: 1.0 ug/ml.

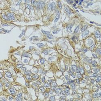
Sample Tissue: Human HepG2 Whole Cell, Antibody dilution: 3 ug/ml.

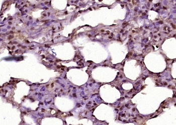
Sample Tissue: Human Lung Tumor, Antibody dilution: 1 ug/ml.

Positive control (+): MCF7 (N10), Negative control (-): Human liver (LI), Antibody concentration: 1 ug/ml.

Rabbit Anti-CHMP4B antibody, Formalin Fixed Paraffin Embedded Tissue: Human Kidney, Primary antibody Concentration: 1:100, Secondary Antibody: Donkey anti-Rabbit-Cy3, Secondary Antibody Concentration: 1:200, Magnification: 20x, Exposure Time: 0.5-2.0 sec.

WB Suggested Anti-CHMP4B Antibody Titration: 0.2-1 ug/ml, Positive Control: THP-1 cell lysate.
Documents Download
Request a Document
CHMP4B Rabbit Polyclonal Antibody (orb582037)
Participating in our Biorbyt product reviews program enables you to support fellow scientists by sharing your firsthand experience with our products.
Login to Submit a Review







