You have no items in your shopping cart.
CPT1B Rabbit Polyclonal Antibody
Description
Research Area
Images & Validation
−| Tested Applications | IHC, WB |
|---|---|
| Reactivity | Human, Mouse |
| Predicted Reactivity | Bovine, Canine, Equine, Guinea pig, Rabbit, Rat, Sheep, Zebrafish |
Key Properties
−| Host | Rabbit |
|---|---|
| Clonality | Polyclonal |
| Immunogen | The immunogen is a synthetic peptide directed towards the middle region of human CPT1B |
| Target | CPT1B |
| Protein Sequence | Synthetic peptide located within the following region: DLEMQFQRILDDPSPPQPGEEKLAALTAGGRVEWAQARQAFFSSGKNKAA |
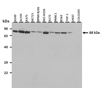
| Molecular Weight | 88 kDa |
| Purification | Affinity Purified |
| Conjugation | Unconjugated |
Storage & Handling
−| Storage | Maintain refrigerated at 2-8°C for up to 2 weeks. For long term storage store at -20°C in small aliquots to prevent freeze-thaw cycles. |
|---|---|
| Buffer/Preservatives | Liquid. Purified antibody supplied in 1x PBS buffer with 0.09% (w/v) sodium azide and 2% sucrose. |
| Concentration | 0.5 mg/ml |
| Expiration Date | 12 months from date of receipt. |
| Disclaimer | For research use only |
Alternative Names
−Similar Products
−CPT1B Rabbit Polyclonal Antibody [orb308786]
IF, IHC, IHC-Fr, WB
Mouse, Rat
Rabbit
Polyclonal
Unconjugated
100 μgCPTI-M rabbit pAb Antibody [orb767484]
ELISA, IF, IHC, WB
Human, Mouse, Rat
Polyclonal
Unconjugated
50 μl, 100 μlCPT1B Rabbit Polyclonal Antibody [orb865378]
ELISA, FC, ICC, IF, WB
Human, Monkey, Mouse, Rat
Rabbit
Polyclonal
Unconjugated
100 μg

Quality Guarantee
Explore bioreagents carefree to elevate your research. All our products are rigorously tested for performance. If a product does not perform as described on its datasheet, our scientific support team will provide expert troubleshooting, a prompt replacement, or a refund. For full details, please see our Terms & Conditions and Buying Guide. Contact us at support@biorbyt.com.

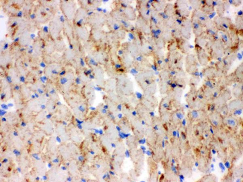
Sample Tissue: Mouse Spleen, Antibody Dilution: 1 ug/mL.

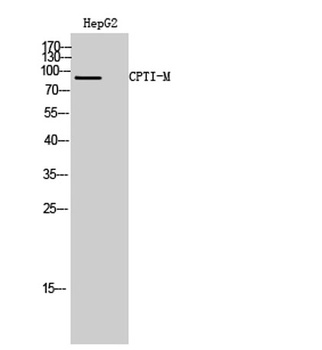
25 ug of the indicated Human whole cell extracts was loaded onto a 12% SDS-PAGE gel. 0.5 ug/mL of the antibody was used in this experiment.

Sample Tissue: Human 293T Whole Cell, Antibody Dilution: 1 ug/mL.

Sample Tissue: Human 293T, Antibody Dilution: 1.0 ug/mL.

Sample Tissue: Human PANC1 Whole Cell, Antibody Dilution: 1 ug/mL.

Sample Tissue: Mouse Spleen, Antibody Dilution: 1 ug/mL.

Positive control (+): Hela (HL), Negative control (-): Human liver (LI), Antibody concentration: 0.5 ug/mL.

Application: IHC, Species+tissue/cell type: Species+tissue/cell type: Human Capan1 cells, Primary antibody Dilution: 1:300, Secondary antibody: Anti-rabbit Alexa Fluor 488, Secondary antibody Dilution: 1:200.

Sample Type: 1: 45 ug human capan1 cell lysate, Primary Antibody Dilution: 1:1000, Secondary Antibody: Anti-rabbit HRP, Secondary Antibody Dilution: 1:5000, Gene Name: CPT1B.

WB Suggested Anti-CPT1B Antibody Titration: 0.2-1 ug/mL, ELISA Titer: 1:62500, Positive Control: HT1080 cell lysate, CPT1B is supported by BioGPS gene expression data to be expressed in HT1080.
Documents Download
Request a Document
Protocol Information
CPT1B Rabbit Polyclonal Antibody (orb330486)
Participating in our Biorbyt product reviews program enables you to support fellow scientists by sharing your firsthand experience with our products.
Login to Submit a Review

















