You have no items in your shopping cart.
CR2 peptide
SKU: orb382336
Description
Research Area
Epigenetics, Immunology, Infectious Diseases
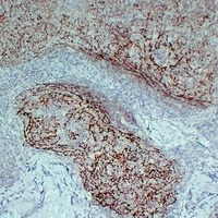
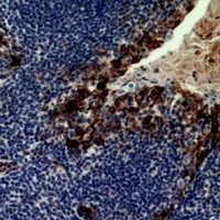
Images & Validation
−
| Tested Applications | Blocking |
|---|---|
| Application Notes |
Key Properties
−| Source | Synthetic |
|---|---|
| Target | CR2 |
| Reactivity | Human, Mouse |
| Purity | >85% |
Storage & Handling
−| Storage | Shipped at 4°C. Store at -20°C for one year. |
|---|---|
| Form/Appearance | Lyophilized powder |
| Expiration Date | 12 months from date of receipt. |
| Disclaimer | For research use only |
Alternative Names
−C3DR; Complement receptor type 2; Cr2; Complement C3d receptor; Epstein-Barr virus receptor; EBV receptor; CD21
Similar Products
−CD21 Mouse Monoclonal Antibody [orb705364]
IHC
Human
Mouse
Monoclonal
Unconjugated
30 μl, 100 μl, 200 μl, 50 μlCD21 Rabbit Polyclonal Antibody [orb382615]
IHC, WB
Human, Mouse
Rabbit
Polyclonal
Unconjugated
30 μl, 100 μl, 200 μl, 50 μl

Quality Guarantee
Explore bioreagents carefree to elevate your research. All our products are rigorously tested for performance. If a product does not perform as described on its datasheet, our scientific support team will provide expert troubleshooting, a prompt replacement, or a refund. For full details, please see our Terms & Conditions and Buying Guide. Contact us at support@biorbyt.com.
Documents Download
Datasheet
Product Information
Request a Document
Protocol Information
CR2 peptide (orb382336)
Based on 0 reviews
Participating in our Biorbyt product reviews program enables you to support fellow scientists by sharing your firsthand experience with our products.
Login to Submit a Review







