You have no items in your shopping cart.
CREB1 Antibody
Description
Images & Validation
−| Tested Applications | ELISA, IHC, WB |
|---|---|
| Dilution Range | ELISA: 1:1,000 - 1:6,000, IHC: 20 µg/ml, WB: 1:500 - 1:2,000 |
| Reactivity | Human, Mouse, Rat |
| Application Notes |
Key Properties
−| Antibody Type | Primary Antibody |
|---|---|
| Host | Rabbit |
| Clonality | Polyclonal |
| Isotype | IgG |
| Immunogen | CREB phospho peptide corresponding to amino acid residues 122-147 of the human protein conjugated to Keyhole Limpet Hemocyanin (KLH). |
| Target | CREB1 |
| Purity | Anti-CREB pS133 was affinity purified from monospecific antiserum by immunoaffinity purification. Antiserum was first sequentially pre-adsorbed against a control E.coli lysate, nickel-purified recombinant CREB and the non-phosphorylated form of the immunizing peptide. The resultant depleted antiserum was then purified against the phosphorylated form of the immunizing peptide. This phospho specific polyclonal antibody is specific for phosphorylated pS133 of human CREB. Reactivity with non-phosphorylated CREB is minimal. This antibody does show cross reactivity with pS133 phosphorylated CREB from mouse and rat. |
| Conjugation | Unconjugated |
Storage & Handling
−| Storage | Store vial at -20° C prior to opening. Aliquot contents and freeze at -20° C or below for extended storage. Avoid cycles of freezing and thawing. Centrifuge product if not completely clear after standing at room temperature. This product is stable for several weeks at 4° C as an undiluted liquid. Dilute only prior to immediate use. |
|---|---|
| Form/Appearance | Liquid (sterile filtered) |
| Buffer/Preservatives | Preservative: 0.01% (w/v) Sodium Azide. Stabilizer: None; Buffer: 0.02 M Potassium Phosphate, 0.15 M Sodium Chloride, pH 7.2 |
| Concentration | 0.064 mg/mL |
| Expiration Date | 12 months from date of receipt. |
| Dry Ice Shipping | Please note: This product requires shipment on dry ice. A dry ice surcharge will apply. |
| Disclaimer | For research use only |
Alternative Names
−Similar Products
−Phospho-CREB-1 (Ser133) Rabbit Polyclonal Antibody [orb10462]
FC, IF, IHC-Fr, IHC-P, WB
Bovine, Canine, Gallus, Porcine, Sheep
Human, Mouse, Rat
Rabbit
Polyclonal
Unconjugated
200 μl, 50 μl, 100 μlCREB-1 Polyclonal Antibody [orb1414166]
IF, IHC-P, WB
Human, Mouse, Rat
Rabbit
Polyclonal
Unconjugated
100 μlCREB-1 (phospho Ser133) Polyclonal Antibody [orb1415436]
IF, IHC-P, IP, WB
Human, Mouse, Rat
Rabbit
Polyclonal
Unconjugated
100 μlCREB-1 Rabbit Polyclonal Antibody [orb10458]
IF, IHC-Fr, IHC-P, WB
Bovine, Canine, Gallus, Porcine, Rat, Sheep
Human, Mouse
Rabbit
Polyclonal
Unconjugated
50 μl, 100 μl, 200 μlCREB-1 Mouse Monoclonal Antibody [orb499769]
IF, IHC-Fr, IHC-P, WB
Mouse
Human, Mouse
Mouse
Monoclonal
Unconjugated
200 μg, 200 μl, 50 μl, 100 μl

Quality Guarantee
Explore bioreagents carefree to elevate your research. All our products are rigorously tested for performance. If a product does not perform as described on its datasheet, our scientific support team will provide expert troubleshooting, a prompt replacement, or a refund. For full details, please see our Terms & Conditions and Buying Guide. Contact us at support@biorbyt.com.

Anti-CREB pS133 was used to detect phosphorylated CREB by western blot at ~46kDa. Recombinant His-tagged human CREB was produced in E.coli and purified by metal affinity chromatography. An aliquot of purified CREB was phosphorylated in-vitro using Protein Kinase A and ATP. Western blot of control (-) and in-vitro phosphorylated CREB (+) was used to show that the antibody reacts specifically with the phosphorylated form. Pan reactive CREB (orb750462) reacts equally with both non-phosphorylated and phosphorylated CREB (not shown). Detection occurs using a 1:500 dilution of antibody followed by 1:5000 dilution of HRP Goat-a-Rabbit IgG with visualization via ECL. Film exposure was approximately 1'. Other detection systems will yield similar results.

Anti-CREB pS133 was used to detect phosphorylated CREB by western blot. Recombinant His-tagged human CREB was produced in E.coli and purified by metal affinity chromatography. An aliquot of purified CREB was phosphorylated in-vitro using Protein Kinase A and ATP. Western blot of indicated amounts (100 ng, 50 ng, 25 ng, 12.5 ng) of control (-) and in-vitro phosphorylated CREB (P) were loaded to show that the antibody reacts specifically with the phosphorylated form. Blots were blocked in 5% milk in TBS + 0.1% Tween-20 (TBST-M) overnight at 4°C. Detection occurs using a 1:500 dilution of antibody diluted in TBST-M and incubated at room temperature with rocking for 1 hour. Blots were rinsed 6X with TBST and incubated with goat anti-rabbit-HRP at 1:5000 in TBST-M at room temperature for 45 min. Blots were again rinsed 6X with TBST and then processed using ECL reagent (Amersham) according to manufacturer's instructions. Exposure time: 1 min using Kodak Biomax MR film. Screaton, The Salk Institute for Biological Studies.

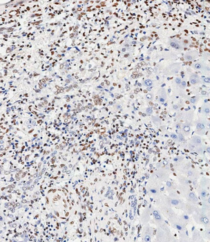
Biorbyt's affinity purified anti-CREB pS133 antibody was used at 20 µg/ml to detect signal in a variety of tissues including multi-human, multi-brain and multi-cancer slides. This image shows moderate to strong nuclear staining of tonsillar lymphocytes. Tissue was formalin-fixed and paraffin embedded. The image shows localization of the antibody as the precipitated red signal, with a hematoxylin purple nuclear counterstain.
Quick Database Links
UniProt Details
−NCBI Reference Sequences
−| RefSeq | CAG28545.1 |
|---|
Documents Download
Request a Document
Protocol Information
CREB1 Antibody (orb345380)
Participating in our Biorbyt product reviews program enables you to support fellow scientists by sharing your firsthand experience with our products.
Login to Submit a Review


























