You have no items in your shopping cart.
CYBB Antibody
Description
Research Area
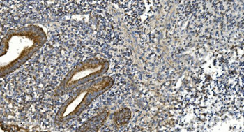
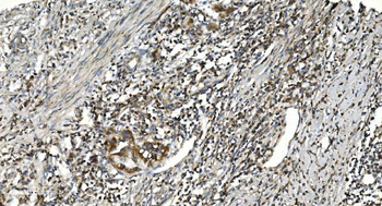
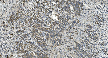
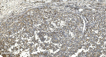
Images & Validation
−| Tested Applications | ELISA, WB |
|---|---|
| Dilution Range | WB: 1:500-1:2000, ELISA: 1:10000 |
| Reactivity | Human, Mouse, Rat |
Key Properties
−| Host | Rabbit |
|---|---|
| Clonality | Polyclonal |
| Isotype | IgG |
| Immunogen | Synthesized peptide derived from the C-terminal region of Human gp91-phox. |
| Target | CYBB |
| Purification | The antibody was affinity-purified from rabbit antiserum by affinity-chromatography using epitope-specific immunogen. |
| Conjugation | Unconjugated |
Storage & Handling
−| Storage | Maintain refrigerated at 2-8°C for up to 2 weeks. For long term storage store at -20°C in small aliquots to prevent freeze-thaw cycles. |
|---|---|
| Form/Appearance | Liquid |
| Buffer/Preservatives | Liquid in PBS containing 50% glycerol, 0.5% rAlbumin and 0.02% sodium azide. |
| Expiration Date | 12 months from date of receipt. |
| Disclaimer | For research use only |
Alternative Names
−Similar Products
−NOX2/gp91phox/CYBB Rabbit Polyclonal Antibody [orb692167]
ELISA, FC, ICC, IF, IHC, WB
Human
Rabbit
Polyclonal
Unconjugated
100 μgNOX2 Rabbit Polyclonal Antibody [orb6523]
IF, IHC-Fr, IHC-P, WB
Bovine, Canine, Equine, Gallus, Porcine, Rabbit
Human, Mouse, Rat
Rabbit
Polyclonal
Unconjugated
50 μl, 100 μl, 200 μlgp91-phox rabbit pAb Antibody [orb766988]
ELISA, IF, IHC, WB
Human, Mouse, Rat
Polyclonal
Unconjugated
100 μlHuman Cytochrome b-245 Beta Polypeptide (CYBb) ELISA Kit [orb778261]
Human
0.16-10 ng/mL
0.054 ng/mL
96 T, 48 TRat Cytochrome b-245 Beta Polypeptide (CYBb) ELISA Kit [orb781383]
Rat
0.16-10 ng/mL
0.059 ng/mL
96 T, 48 T

Quality Guarantee
Explore bioreagents carefree to elevate your research. All our products are rigorously tested for performance. If a product does not perform as described on its datasheet, our scientific support team will provide expert troubleshooting, a prompt replacement, or a refund. For full details, please see our Terms & Conditions and Buying Guide. Contact us at support@biorbyt.com.

Western blot analysis of AD293 RAW using CYBB antibody

Western blot analysis of HT29 cells using CYBB antibody
Quick Database Links
UniProt Details
−Documents Download
Request a Document
Protocol Information
CYBB Antibody (orb675589)
Participating in our Biorbyt product reviews program enables you to support fellow scientists by sharing your firsthand experience with our products.
Login to Submit a Review
















