You have no items in your shopping cart.
DTX2 Rabbit Polyclonal Antibody
Description
Research Area
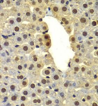
Images & Validation
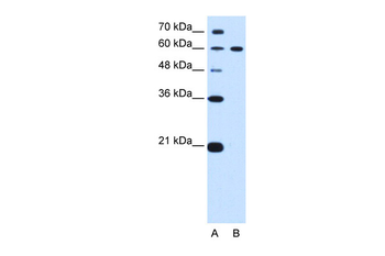
−| Tested Applications | WB |
|---|---|
| Reactivity | Human |
| Predicted Reactivity | Bovine, Canine, Equine, Goat, Guinea pig, Mouse, Rabbit, Rat, Zebrafish |
Key Properties
−| Host | Rabbit |
|---|---|
| Clonality | Polyclonal |
| Immunogen | The immunogen is a synthetic peptide directed towards the C terminal region of human DTX2 |
| Target | DTX2 |
| Protein Sequence | Synthetic peptide located within the following region: EDCGTILIVYSIPHGIQGPEHPNPGKPFTARGFPRQCYLPDNAQGRKVLE |
| Molecular Weight | 62kDa |
| Purification | Affinity Purified |
| Conjugation | Unconjugated |
Storage & Handling
−| Storage | Maintain refrigerated at 2-8°C for up to 2 weeks. For long term storage store at -20°C in small aliquots to prevent freeze-thaw cycles. |
|---|---|
| Buffer/Preservatives | Liquid. Purified antibody supplied in 1x PBS buffer with 0.09% (w/v) sodium azide and 2% sucrose. |
| Concentration | 0.5 mg/ml |
| Expiration Date | 12 months from date of receipt. |
| Disclaimer | For research use only |
Alternative Names
−Similar Products
−DTX2 Rabbit Polyclonal Antibody [orb156649]
ELISA, ICC, IF, IHC-Fr, IHC-P, WB
Equine, Human, Mouse, Rat, Zebrafish
Human
Rabbit
Polyclonal
Unconjugated
50 μl, 100 μl, 200 μlDTX2 Rabbit Polyclonal Antibody [orb626541]
ELISA, IHC, WB
Human, Mouse, Rat
Rabbit
Polyclonal
Unconjugated
50 μg, 100 μgDeltex-2 Rabbit Polyclonal Antibody [orb341292]
IHC, WB
Human, Mouse, Rat
Rabbit
Polyclonal
Unconjugated
100 μl, 50 μl, 200 μl, 30 μlDTX2 Polyclonal Antibody [orb3150165]
ELISA, IHC, WB
Human, Mouse
Rabbit
Polyclonal
Unconjugated
50 μg, 100 μgDTX2 polyclonal antibody [orb649294]
IHC, WB
Human, Mouse, Rat
Rabbit
Polyclonal
Unconjugated
200 μl, 100 μl, 50 μl

Quality Guarantee
Explore bioreagents carefree to elevate your research. All our products are rigorously tested for performance. If a product does not perform as described on its datasheet, our scientific support team will provide expert troubleshooting, a prompt replacement, or a refund. For full details, please see our Terms & Conditions and Buying Guide. Contact us at support@biorbyt.com.

WB Suggested Anti-DTX2 Antibody Titration: 0.2-1 ug/ml, Positive Control: HepG2 cell lysate.
Quick Database Links
UniProt Details
−NCBI Reference Sequences
−| Protein | NP_001096066 |
|---|
Documents Download
Request a Document
DTX2 Rabbit Polyclonal Antibody (orb578778)
Participating in our Biorbyt product reviews program enables you to support fellow scientists by sharing your firsthand experience with our products.
Login to Submit a Review



