You have no items in your shopping cart.
E2F3 Rabbit Polyclonal Antibody
Description
Research Area
Images & Validation
−| Tested Applications | WB |
|---|---|
| Reactivity | Human, Mouse |
| Predicted Reactivity | Bovine, Canine, Equine, Guinea pig, Rabbit, Rat |
Key Properties
−| Host | Rabbit |
|---|---|
| Clonality | Polyclonal |
| Immunogen | The immunogen is a synthetic peptide directed towards the C terminal region of human E2F3 |
| Target | E2F3 |
| Protein Sequence | Synthetic peptide located within the following region: LLQQTEDQIPSNLEGPFVNLLPPLLQEDYLLSLGEEEGISDLFDAYDLEK |
| Molecular Weight | 49 kDa |
| Purification | Affinity Purified |
| Conjugation | Unconjugated |
Storage & Handling
−| Storage | Maintain refrigerated at 2-8°C for up to 2 weeks. For long term storage store at -20°C in small aliquots to prevent freeze-thaw cycles. |
|---|---|
| Buffer/Preservatives | Liquid. Purified antibody supplied in 1x PBS buffer with 0.09% (w/v) sodium azide and 2% sucrose. |
| Concentration | 0.5 mg/ml |
| Expiration Date | 12 months from date of receipt. |
| Disclaimer | For research use only |
Alternative Names
−Similar Products
−E2F3 Rabbit Polyclonal Antibody [orb526587]
IF, IHC-Fr, IHC-P, WB
Bovine, Equine, Rabbit, Sheep
Human, Mouse, Rat
Rabbit
Polyclonal
Unconjugated
200 μl, 50 μl, 100 μlE2F3 Rabbit Polyclonal Antibody [orb1145757]
ELISA, FC, IHC, WB
Human, Mouse, Rat
Rabbit
Polyclonal
Unconjugated
100 μgE2F-3 (Acetyl Lys168) rabbit pAb Antibody [orb771322]
ELISA, WB
Human, Mouse, Rat
Polyclonal
Unconjugated
100 μl, 50 μlE2F3 Rabbit Polyclonal Antibody [orb608082]
IF, IHC-Fr, IHC-P
Canine, Equine, Human, Rabbit
Mouse, Rat
Rabbit
Polyclonal
Unconjugated
50 μl, 100 μl, 200 μl

Quality Guarantee
Explore bioreagents carefree to elevate your research. All our products are rigorously tested for performance. If a product does not perform as described on its datasheet, our scientific support team will provide expert troubleshooting, a prompt replacement, or a refund. For full details, please see our Terms & Conditions and Buying Guide. Contact us at support@biorbyt.com.

25 ug of the indicated Human whole cell or tissue extracts was loaded onto a 6-18% SDS-PAGE gel. 3 ug/ml of the antibody was used in this experiment. The peptide sequence is also present in isoforms of 42 kDa and 37 kDa.

Sample Tissue: Mouse Small Intestine, Antibody Dilution: 1 ug/ml.

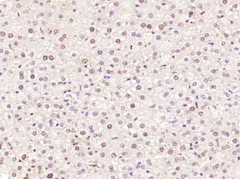
Sample Tissue: Human Lung Tumor, Antibody Dilution: 1 ug/ml.

Sample Tissue: Human Ovary Tumor, Antibody Dilution: 1.0 ug/ml.

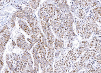
Sample Tissue: Human OVCAR-3 Whole Cell, Antibody Dilution: 0.5 ug/ml.

Sample Tissue: Human OVCAR-3 Whole Cell, Antibody Dilution: 1 ug/ml.

WB Suggested Anti-E2F3 Antibody Titration: 0.2-1 ug/ml, ELISA Titer: 1:62500, Positive Control: Human Thymus.
Documents Download
Request a Document
E2F3 Rabbit Polyclonal Antibody (orb576521)
Participating in our Biorbyt product reviews program enables you to support fellow scientists by sharing your firsthand experience with our products.
Login to Submit a Review










