You have no items in your shopping cart.
EFTUD2 Antibody
Description
Images & Validation
−| Tested Applications | IF, IHC, IP, WB |
|---|---|
| Reactivity | Human, Mouse, Rat |
| Application Notes |
Key Properties
−| Antibody Type | Primary Antibody |
|---|---|
| Host | Rabbit |
| Clonality | Polyclonal |
| Isotype | IgG |
| Immunogen | Recombinant fusion protein containing a sequence corresponding to amino acids 1-205 of human EFTUD2 (NP_004238.3). |
| Target | EFTUD2 |
| Molecular Weight | Observed: 120kDa |
| Purification | Affinity purification |
| Conjugation | Unconjugated |
Storage & Handling
−| Storage | Maintain refrigerated at 2-8°C for up to 2 weeks. For long term storage store at -20°C in small aliquots to prevent freeze-thaw cycles. |
|---|---|
| Form/Appearance | Liquid |
| Buffer/Preservatives | PBS with 0.02% sodium azide, 50% glycerol, pH 7.3. |
| Concentration | batch dependent |
| Expiration Date | 12 months from date of receipt. |
| Disclaimer | For research use only |
Alternative Names
−Similar Products
−EFTUD2 Antibody (Center) [orb1928000]
IHC-P, WB
Bovine, Gallus, Mouse
Human
Rabbit
Polyclonal
Unconjugated
50 μl, 100 μlEFTUD2 Rabbit Polyclonal Antibody [orb626637]
ELISA, IF, IHC, IP, WB
Human, Mouse, Rat
Rabbit
Polyclonal
Unconjugated
50 μg, 100 μgRabbit EFTUD2/SNRP116 Antibody [orb1529326]
IHC, IP, WB
Bovine, Gallus
Human, Mouse
Rabbit
Polyclonal
Unconjugated
100 μl, 10 μl

Quality Guarantee
Explore bioreagents carefree to elevate your research. All our products are rigorously tested for performance. If a product does not perform as described on its datasheet, our scientific support team will provide expert troubleshooting, a prompt replacement, or a refund. For full details, please see our Terms & Conditions and Buying Guide. Contact us at support@biorbyt.com.

Western blot analysis of extracts of various cell lines, using EFTUD2 antibody (orb1256642) at 1:2000 dilution. Secondary antibody: HRP Goat Anti-Rabbit IgG (H+L) at 1:10000 dilution. Lysates/proteins: 25 ug per lane. Blocking buffer: 3% nonfat dry milk in TBST. Detection: ECL Enhanced Kit. Exposure time: 20s.

Immunohistochemistry of paraffin-embedded rat liver using EFTUD2 Antibody (orb1256642) at dilution of 1:100 (40x lens).

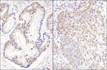
Immunohistochemistry of paraffin-embedded human stomach using EFTUD2 Antibody (orb1256642) at dilution of 1:100 (40x lens).

Immunohistochemistry of paraffin-embedded human gastric cancer using EFTUD2 Antibody (orb1256642) at dilution of 1:100 (40x lens).

Immunohistochemistry of paraffin-embedded mouse brain using EFTUD2 Antibody (orb1256642) at dilution of 1:100 (40x lens).

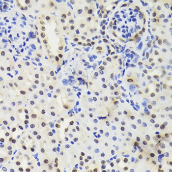
Immunohistochemistry of paraffin-embedded mouse kidney using EFTUD2 Antibody (orb1256642) at dilution of 1:100 (40x lens).

Immunofluorescence analysis of U2OS cells using EFTUD2 antibody (orb1256642).

Immunoprecipitation analysis of 100 ug extracts of 293T cells using 3 ug EFTUD2 antibody (orb1256642). Western blot was performed from the immunoprecipitate using EFTUD2 antibody (orb1256642) at a dilution of 1:1000.
Quick Database Links
UniProt Details
−Documents Download
Request a Document
Protocol Information
EFTUD2 Antibody (orb1256642)
Participating in our Biorbyt product reviews program enables you to support fellow scientists by sharing your firsthand experience with our products.
Login to Submit a Review







