You have no items in your shopping cart.
EIF4E Rabbit Polyclonal Antibody
Description
Research Area
Images & Validation
−| Tested Applications | IHC, WB |
|---|---|
| Reactivity | Human |
| Predicted Reactivity | Bovine, Canine, Equine, Guinea pig, Mouse, Rabbit, Rat, Zebrafish |
Key Properties
−| Host | Rabbit |
|---|---|
| Clonality | Polyclonal |
| Immunogen | The immunogen is a synthetic peptide directed towards the C terminal region of human EIF4E |
| Target | EIF4E |
| Protein Sequence | Synthetic peptide located within the following region: TECENREAVTHIGRVYKERLGLPPKIVIGYQSHADTATKSGSTTKNRFVV |
| Molecular Weight | 25 kDa |
| Purification | Affinity Purified |
| Conjugation | Unconjugated |
Storage & Handling
−| Storage | Maintain refrigerated at 2-8°C for up to 2 weeks. For long term storage store at -20°C in small aliquots to prevent freeze-thaw cycles. |
|---|---|
| Buffer/Preservatives | Liquid. Purified antibody supplied in 1x PBS buffer with 0.09% (w/v) sodium azide and 2% sucrose. |
| Concentration | 0.5 mg/ml |
| Expiration Date | 12 months from date of receipt. |
| Disclaimer | For research use only |
Alternative Names
−Similar Products
−4E-BP1 (phospho Thr69) rabbit pAb Antibody [orb767260]
ELISA, IF, IHC, WB
Mouse, Rat
Polyclonal
Unconjugated
100 μl, 50 μlPhospho-eIF4E (Ser209) Rabbit Polyclonal Antibody [orb13390]
FC, IF, IHC-Fr, IHC-P, WB
Bovine, Canine, Equine, Gallus, Porcine, Rabbit, Zebrafish
Human, Mouse, Rat
Rabbit
Polyclonal
Unconjugated
200 μl, 50 μl, 100 μleIF4E3 rabbit pAb Antibody [orb768625]
ELISA, WB
Human, Mouse, Rat
Polyclonal
Unconjugated
100 μl, 50 μlEIF4ENIF1 Rabbit Polyclonal Antibody [orb183351]
IF, IHC-Fr, IHC-P
Aves, Bovine, Equine, Human, Porcine, Primate, Rabbit
Mouse, Rat
Rabbit
Polyclonal
Unconjugated
50 μl, 100 μl, 200 μlPhospho-eIF4EBP1 (Thr70) Rabbit Polyclonal Antibody [orb183352]
IF, IHC-Fr, IHC-P, WB
Bovine, Canine, Equine, Gallus, Human, Mouse, Sheep
Rat
Rabbit
Polyclonal
Unconjugated
50 μl, 100 μl, 200 μl

Quality Guarantee
Explore bioreagents carefree to elevate your research. All our products are rigorously tested for performance. If a product does not perform as described on its datasheet, our scientific support team will provide expert troubleshooting, a prompt replacement, or a refund. For full details, please see our Terms & Conditions and Buying Guide. Contact us at support@biorbyt.com.

25 ug of the indicated Human whole cell or tissue extracts was loaded onto a 12% SDS-PAGE gel. 3 ug/ml of the antibody was used in this experiment.

Sample Tissue: Human NCI-H226 Whole Cell, Antibody Dilution: 1 ug/ml.

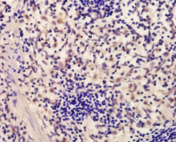
Immunohistochemistry with Lung, respiratory epithelium tissue at an antibody concentration of 5 ug/ml using anti-EIF4E antibody (orb577556).

WB Suggested Anti-EIF4E Antibody Titration: 0.2-1 ug/ml, ELISA Titer: 1:312500, Positive Control: Human brain.
Documents Download
Request a Document
Protocol Information
EIF4E Rabbit Polyclonal Antibody (orb577556)
Participating in our Biorbyt product reviews program enables you to support fellow scientists by sharing your firsthand experience with our products.
Login to Submit a Review
















