You have no items in your shopping cart.
ENTPD3 Antibody
Description
Research Area
Images & Validation
−| Tested Applications | ELISA, IF, IHC |
|---|---|
| Dilution Range | IHC-P:1:20-200, IF:1:50-200 |
| Reactivity | Human |
Key Properties
−| Host | Rabbit |
|---|---|
| Clonality | Polyclonal |
| Isotype | IgG |
| Immunogen | Recombinant Human Ectonucleoside triphosphate diphosphohydrolase 3 protein (60-338AA) |
| Target | ENTPD3 |
| Purification | >95%, Protein G purified |
| Conjugation | Unconjugated |
Storage & Handling
−| Storage | Maintain refrigerated at 2-8°C for up to 2 weeks. For long term storage store at -20°C in small aliquots to prevent freeze-thaw cycles. |
|---|---|
| Form/Appearance | Liquid |
| Buffer/Preservatives | Preservative: 0.03% Proclin 300. Constituents: 50% Glycerol |
| Expiration Date | 12 months from date of receipt. |
| Disclaimer | For research use only |
Alternative Names
−Similar Products
−ectonucleoside triphosphate diphosphohydrolase 3 Antibody [orb556163]
IHC-P, WB
Human
Rabbit
Polyclonal
Unconjugated
100 μlENTPD3 Rabbit Polyclonal Antibody [orb626749]
ELISA, WB
Human, Mouse, Rat
Rabbit
Polyclonal
Unconjugated
50 μg, 100 μg

Quality Guarantee
Explore bioreagents carefree to elevate your research. All our products are rigorously tested for performance. If a product does not perform as described on its datasheet, our scientific support team will provide expert troubleshooting, a prompt replacement, or a refund. For full details, please see our Terms & Conditions and Buying Guide. Contact us at support@biorbyt.com.

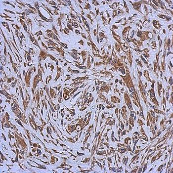
Immunohistochemistry of paraffin-embedded human adrenal gland tissue using ENTPD3 antibody

Immunofluorescent analysis of MCF-7 cells using ENTPD3 antibody

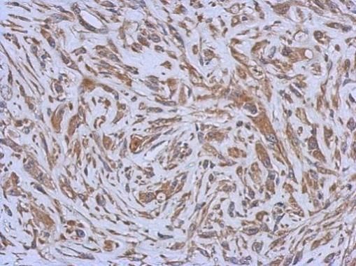
Immunohistochemistry of paraffin-embedded human testis tissue using ENTPD3 antibody
Quick Database Links
UniProt Details
−Documents Download
Request a Document
Protocol Information
ENTPD3 Antibody (orb354755)
Participating in our Biorbyt product reviews program enables you to support fellow scientists by sharing your firsthand experience with our products.
Login to Submit a Review







