You have no items in your shopping cart.
ER alpha (Phospho-Ser118) Rabbit mAb Antibody
Description
Images & Validation
−| Tested Applications | ICC, IHC, WB |
|---|---|
| Reactivity | Human |
Key Properties
−| Antibody Type | Recombinant Antibody |
|---|---|
| Host | Rabbit |
| Clonality | Monoclonal |
| Conjugation | Unconjugated |
Storage & Handling
−| Storage | Maintain refrigerated at 2-8°C for up to 2 weeks. For long term storage store at -20°C in small aliquots to prevent freeze-thaw cycles. |
|---|---|
| Expiration Date | 12 months from date of receipt. |
| Disclaimer | For research use only |

Quality Guarantee
Explore bioreagents carefree to elevate your research. All our products are rigorously tested for performance. If a product does not perform as described on its datasheet, our scientific support team will provide expert troubleshooting, a prompt replacement, or a refund. For full details, please see our Terms & Conditions and Buying Guide. Contact us at support@biorbyt.com.

Immunofluorescent analysis of MCF7 cells treated with EGF, using Phospho-ER alpha (S118) Antibody.

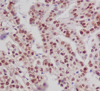
Immunohistochemical analysis of paraffin-embedded human kidney, using Phospho-ER alpha (S118) Antibody.

Western blot analysis of Phospho-ER alpha (S118) expression in (1) MCF7 cell lysate; (2) MCF7 cell lysate treated with b-Estradiol and EGF.
Quick Database Links
UniProt Details
−Documents Download
Request a Document
Protocol Information
ER alpha (Phospho-Ser118) Rabbit mAb Antibody (orb1727772)
Participating in our Biorbyt product reviews program enables you to support fellow scientists by sharing your firsthand experience with our products.
Login to Submit a Review