You have no items in your shopping cart.
Fgf1 Rabbit Polyclonal Antibody
Description
Research Area
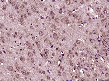
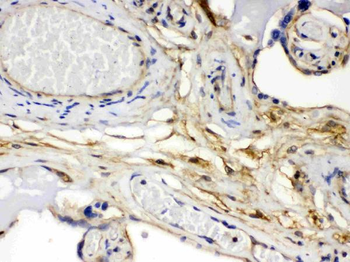
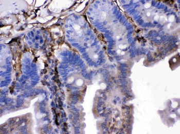
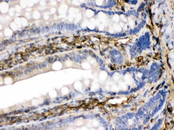
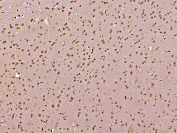
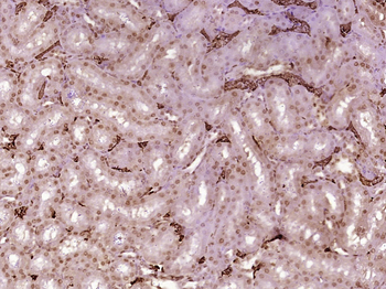
Images & Validation
−| Tested Applications | WB |
|---|---|
| Reactivity | Mouse |
| Predicted Reactivity | Bovine, Canine, Equine, Guinea pig, Human, Rabbit, Rat, Sheep |
Key Properties
−| Host | Rabbit |
|---|---|
| Clonality | Polyclonal |
| Immunogen | The immunogen is a synthetic peptide corresponding to a region of Mouse |
| Target | Fgf1 |
| Protein Sequence | Synthetic peptide located within the following region: ALTERFNLPLGNYKKPKLLYCSNGGHFLRILPDGTVDGTRDRSDQHIQLQ |
| Molecular Weight | 17kDa |
| Purification | Affinity Purified |
| Conjugation | Unconjugated |
Storage & Handling
−| Storage | Maintain refrigerated at 2-8°C for up to 2 weeks. For long term storage store at -20°C in small aliquots to prevent freeze-thaw cycles. |
|---|---|
| Buffer/Preservatives | Liquid. Purified antibody supplied in 1x PBS buffer with 0.09% (w/v) sodium azide and 2% sucrose. |
| Concentration | 0.5 mg/ml |
| Expiration Date | 12 months from date of receipt. |
| Disclaimer | For research use only |
Alternative Names
−Similar Products
−FGF1 Rabbit Polyclonal Antibody [orb10648]
FC, ICC, IF, IHC-Fr, IHC-P
Rat, Sheep
Human, Mouse
Rabbit
Polyclonal
Unconjugated
200 μl, 100 μl, 50 μlFGF1 Rabbit Polyclonal Antibody [orb371678]
ELISA, IHC, WB
Human, Mouse, Rat
Rabbit
Polyclonal
Unconjugated
100 μgFGF1 Rabbit Polyclonal Antibody [orb526768]
IF, IHC-Fr, IHC-P
Canine, Equine, Human, Porcine, Rabbit
Mouse, Rat
Rabbit
Polyclonal
Unconjugated
100 μl, 200 μl, 50 μlFGF1 Rabbit Polyclonal Antibody [orb627016]
ELISA, IHC, WB
Human, Mouse, Rat
Rabbit
Polyclonal
Unconjugated
50 μg, 100 μgFibroblast growth factor 1 FGF1 Rabbit Polyclonal Antibody [orb48038]
ELISA, IHC, WB
Human
Rabbit
Polyclonal
Unconjugated
100 μg

Quality Guarantee
Explore bioreagents carefree to elevate your research. All our products are rigorously tested for performance. If a product does not perform as described on its datasheet, our scientific support team will provide expert troubleshooting, a prompt replacement, or a refund. For full details, please see our Terms & Conditions and Buying Guide. Contact us at support@biorbyt.com.

WB Suggested Anti-Fgf1 Antibody Titration: 0.2-1 ug/ml, ELISA Titer: 1:1562500, Positive Control: Mouse Heart.
Documents Download
Request a Document
Fgf1 Rabbit Polyclonal Antibody (orb575042)
Participating in our Biorbyt product reviews program enables you to support fellow scientists by sharing your firsthand experience with our products.
Login to Submit a Review












