You have no items in your shopping cart.
FGF12 Antibody
Description
Research Area
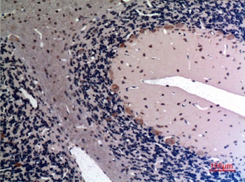
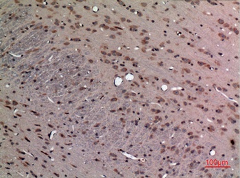
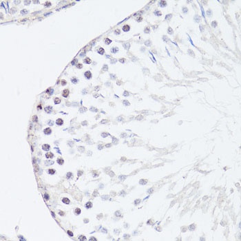
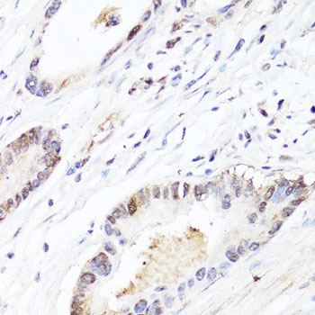
Images & Validation
−| Tested Applications | ELISA, WB |
|---|---|
| Dilution Range | WB: 1:500-1:2000, ELISA: 1:20000 |
| Reactivity | Human, Mouse, Rat |
Key Properties
−| Host | Rabbit |
|---|---|
| Clonality | Polyclonal |
| Isotype | IgG |
| Immunogen | Synthesized peptide derived from the Internal region of Human FGF-12. |
| Target | FGF12 |
| Purification | The antibody was affinity-purified from rabbit antiserum by affinity-chromatography using epitope-specific immunogen. |
| Conjugation | Unconjugated |
Storage & Handling
−| Storage | Maintain refrigerated at 2-8°C for up to 2 weeks. For long term storage store at -20°C in small aliquots to prevent freeze-thaw cycles. |
|---|---|
| Form/Appearance | Liquid |
| Buffer/Preservatives | Liquid in PBS containing 50% glycerol, 0.5% rAlbumin and 0.02% sodium azide. |
| Expiration Date | 12 months from date of receipt. |
| Disclaimer | For research use only |
Alternative Names
−Similar Products
−FGF-12 rabbit pAb Antibody [orb766766]
ELISA, IF, IHC, WB
Human, Mouse, Rat
Polyclonal
Unconjugated
100 μlHuman Fibroblast Growth Factor 12 (FGF12) ELISA Kit [orb777229]
Human
15.63-1000 pg/mL
5.5 pg/mL
96 T, 48 TRat Fibroblast Growth Factor 12 (FGF12) ELISA Kit [orb780538]
Rat
15.63-1000 pg/mL
6.1 pg/mL
96 T, 48 TMouse Fibroblast Growth Factor 12 (FGF12) ELISA Kit [orb780070]
Mouse
15.63-1000 pg/mL
6.3 pg/mL
96 T, 48 T

Quality Guarantee
Explore bioreagents carefree to elevate your research. All our products are rigorously tested for performance. If a product does not perform as described on its datasheet, our scientific support team will provide expert troubleshooting, a prompt replacement, or a refund. For full details, please see our Terms & Conditions and Buying Guide. Contact us at support@biorbyt.com.

Western blot analysis of 22RV-1(Lane 1), BT474(Lane 2), SHSY5Y(Lane 3) cells using FGF12 antibody
Quick Database Links
UniProt Details
−Documents Download
Request a Document
Protocol Information
FGF12 Antibody (orb671994)
Participating in our Biorbyt product reviews program enables you to support fellow scientists by sharing your firsthand experience with our products.
Login to Submit a Review









