You have no items in your shopping cart.
FKHR (Phospho-Ser256) Antibody
Description
Images & Validation
−| Tested Applications | IF, IH, IP, WB |
|---|---|
| Reactivity | Human, Mouse, Rat |
Key Properties
−| Antibody Type | Primary Antibody |
|---|---|
| Host | Rabbit |
| Clonality | Polyclonal |
| Conjugation | Unconjugated |
Storage & Handling
−| Storage | Maintain refrigerated at 2-8°C for up to 2 weeks. For long term storage store at -20°C in small aliquots to prevent freeze-thaw cycles. |
|---|---|
| Expiration Date | 12 months from date of receipt. |
| Disclaimer | For research use only |
Similar Products
−Phospho-FoxO1 (Ser256) Rabbit Polyclonal Antibody [orb6050]
ELISA, FC, IF, IHC-Fr, IHC-P
Bovine, Canine, Equine, Gallus, Porcine
Human, Mouse, Rabbit, Rat
Rabbit
Polyclonal
Unconjugated
50 μl, 100 μl, 200 μlFoxO1 (phospho Ser256) rabbit pAb Antibody [orb768175]
ELISA, IF, IHC, WB
Drosophila, Human, Mouse, Rat
Polyclonal
Unconjugated
100 μl, 50 μlPhospho-FoxO1 (Ser256) Rabbit Polyclonal Antibody (PE) [orb505631]
FC, IF
Bovine, Canine, Equine, Gallus, Porcine
Human, Mouse, Rabbit, Rat
Rabbit
Polyclonal
PE
100 μlPhospho-FoxO1 (Ser256) Rabbit Polyclonal Antibody (PE-Cy7) [orb904223]
FC, IF
Bovine, Canine, Equine, Gallus, Porcine
Human, Mouse, Rabbit, Rat
Rabbit
Polyclonal
PE/Cy7
100 μlFKHR (Phospho-Ser256) Antibody [orb223004]
IHC, WB
Human, Mouse, Rat
Rabbit
Polyclonal
Unconjugated
50 μg, 25 μg, 100 μg, 200 μg

Quality Guarantee
Explore bioreagents carefree to elevate your research. All our products are rigorously tested for performance. If a product does not perform as described on its datasheet, our scientific support team will provide expert troubleshooting, a prompt replacement, or a refund. For full details, please see our Terms & Conditions and Buying Guide. Contact us at support@biorbyt.com.

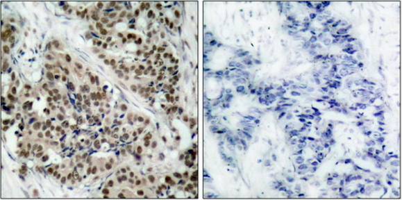
Immunohistochemical analysis of paraffin- embedded human breast carcinoma tissue using FKHR (phospho-Ser256) antibody

Immunohistochemical analysis of paraffin- embedded human breast carcinoma tissue using FKHR (phospho-Ser256) antibody

Western blot analysis using FKHR antibody (orb14543, Lane 1, 2, 3 and 4) and FKHR (phospho- Ser256) antibody (orb14837, Lane 5, 6, 7 and 8)

Immunofluorescence staining of methanol-fixed MCF7 cells using FKHR (phospho- Ser256) antibody (Red)
Quick Database Links
UniProt Details
−Documents Download
Request a Document
Protocol Information
FKHR (Phospho-Ser256) Antibody (orb14837)
Participating in our Biorbyt product reviews program enables you to support fellow scientists by sharing your firsthand experience with our products.
Login to Submit a Review




















