You have no items in your shopping cart.
G3BP (Phospho-Ser232) Antibody
Description
Images & Validation
−| Tested Applications | IF, IHC, WB |
|---|---|
| Reactivity | Human |
Key Properties
−| Antibody Type | Primary Antibody |
|---|---|
| Host | Rabbit |
| Clonality | Polyclonal |
| Conjugation | Unconjugated |
Storage & Handling
−| Storage | Maintain refrigerated at 2-8°C for up to 2 weeks. For long term storage store at -20°C in small aliquots to prevent freeze-thaw cycles. |
|---|---|
| Expiration Date | 12 months from date of receipt. |
| Disclaimer | For research use only |
Similar Products
−G3BP-1 (Phospho-Ser232) Antibody [orb223008]
IHC, WB
Human, Mouse
Rabbit
Polyclonal
Unconjugated
50 μg, 200 μg, 25 μg, 100 μgPhospho-G3BP1 (Ser232) Rabbit Polyclonal Antibody [orb4580]
WB
Bovine, Porcine, Rabbit
Human
Rabbit
Polyclonal
Unconjugated
50 μl, 100 μl, 200 μlG3BP1 (phospho Ser232) Polyclonal Antibody [orb1415404]
IHC-P, WB
Human, Mouse
Rabbit
Polyclonal
Unconjugated
100 μlPhospho-G3BP1 (Ser232) Rabbit Polyclonal Antibody (HRP) [orb503141]
WB
Bovine, Porcine, Rabbit
Human
Rabbit
Polyclonal
HRP
100 μlPhospho-G3BP1 (Ser232) Rabbit Polyclonal Antibody (Biotin) [orb501209]
WB
Bovine, Porcine, Rabbit
Human
Rabbit
Polyclonal
Biotin
100 μl

Quality Guarantee
Explore bioreagents carefree to elevate your research. All our products are rigorously tested for performance. If a product does not perform as described on its datasheet, our scientific support team will provide expert troubleshooting, a prompt replacement, or a refund. For full details, please see our Terms & Conditions and Buying Guide. Contact us at support@biorbyt.com.

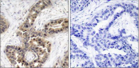
Immunohistochemical analysis of paraffin-embedded human breast carcinoma tissue using G3BP-1 (phospho-Ser232) antibody

Immunohistochemical analysis of paraffin-embedded human breast carcinoma tissue using G3BP-1 (phospho-Ser232) antibody

Western blot analysis of extracts from 293 cells using G3BP-1 antibody (orb14513, Lane 1 and 2) and G3BP-1 (phospho-Ser232) antibody (orb14807, Lane 3 and 4)

Immunofluorescence staining of methanol-fixed HeLa cells using G3BP-1 (phospho-Ser232) antibody (orb14807, red)
Quick Database Links
UniProt Details
−Documents Download
Request a Document
Protocol Information
G3BP (Phospho-Ser232) Antibody (orb14807)
Participating in our Biorbyt product reviews program enables you to support fellow scientists by sharing your firsthand experience with our products.
Login to Submit a Review



