You have no items in your shopping cart.
GATA3 (Phospho-Ser308) Rabbit mAb [KD Validated] Antibody
Description
Images & Validation
−| Tested Applications | IHC, IP, WB |
|---|---|
| Dilution Range | WB:1:500~1:2000IHC:1:50~1:100IP:1:50 |
| Reactivity | Human |
Key Properties
−| Antibody Type | Recombinant Antibody |
|---|---|
| Host | Rabbit |
| Clonality | Monoclonal |
| Isotype | Rabbit IgG |
| Immunogen | A synthesized peptide derived from human Phospho-GATA3 (S308) |
| Molecular Weight | 48kDa |
| Purification | Affinity-chromatography |
| Conjugation | Unconjugated |
Storage & Handling
−| Storage | Maintain refrigerated at 2-8°C for up to 2 weeks. For long term storage store at -20°C in small aliquots to prevent freeze-thaw cycles. |
|---|---|
| Form/Appearance | Rabbit IgG in phosphate buffered saline , pH 7.4, 150mM NaCl, 0.02% sodium azide and 50% glycerol. |
| Expiration Date | 12 months from date of receipt. |
| Disclaimer | For research use only |
Alternative Names
−
Quality Guarantee
Explore bioreagents carefree to elevate your research. All our products are rigorously tested for performance. If a product does not perform as described on its datasheet, our scientific support team will provide expert troubleshooting, a prompt replacement, or a refund. For full details, please see our Terms & Conditions and Buying Guide. Contact us at support@biorbyt.com.
![GATA3 (Phospho-Ser308) Rabbit mAb [KD Validated] Antibody](/images/pub/media/catalog/product/NewWebsite/18/orb1727786_1.png)
All lanes use the Antibody at 1:1K dilution for 1 hour at room temperature.
![GATA3 (Phospho-Ser308) Rabbit mAb [KD Validated] Antibody](/images/pub/media/catalog/product/NewWebsite/18/orb1727786_2.png)
Immunohistochemical analysis of paraffin-embedded human bladder cancer, using Phospho-GATA3 (S308) Antibody.
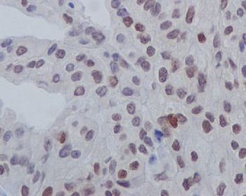
![GATA3 (Phospho-Ser308) Rabbit mAb [KD Validated] Antibody](/images/pub/media/catalog/product/NewWebsite/18/orb1727786_3.png)
Western blot analysis of Phospho-GATA3 (S308) Jurkat cell lysate treated with Bromo-cAMP.
Quick Database Links
UniProt Details
−Documents Download
Request a Document
Protocol Information
GATA3 (Phospho-Ser308) Rabbit mAb [KD Validated] Antibody (orb1727786)
Participating in our Biorbyt product reviews program enables you to support fellow scientists by sharing your firsthand experience with our products.
Login to Submit a Review