You have no items in your shopping cart.
GFAP Antibody
Description
Research Area
Images & Validation
−| Tested Applications | ELISA, IHC, IP, WB |
|---|---|
| Dilution Range | WB: 1:5000-1:50000; IP: 1:500-1:5000; IHC: 1:500-1:10000; IF: 1:50-1:500 |
| Reactivity | Human, Mouse, Rat |
Key Properties
−| Antibody Type | Primary Antibody |
|---|---|
| Host | Mouse |
| Clonality | Monoclonal |
| Isotype | IgG1 |
| Immunogen | glial fibrillary acidic protein |
| Target | GFAP |
| Molecular Weight | 45-50 kDa |
| Purity | ≥95% as determined by SDS-PAGE |
| Purification | Protein A+G purified |
| Conjugation | Unconjugated |
Storage & Handling
−| Storage | Maintain refrigerated at 2-8°C for up to 2 weeks. For long term storage store at -20°C in small aliquots to prevent freeze-thaw cycles. |
|---|---|
| Form/Appearance | liquid |
| Disclaimer | For research use only |
Similar Products
−GFAP antibody [orb10706]
ELISA, ICC, IF, IHC-P, WB
Human, Mouse, Rat
Rabbit
Polyclonal
Unconjugated
100 μgGFAP Rabbit Polyclonal Antibody [orb500829]
FC, IF, IHC-Fr, IHC-P
Bovine, Canine, Porcine, Rabbit, Sheep
Human, Mouse, Rat
Rabbit
Polyclonal
Unconjugated
100 μl, 200 μl, 50 μlGFAP Antibody [orb401780]
ELISA, FC, IF, IHC, WB
Human, Mouse, Rat
Mouse
Monoclonal
Unconjugated
50 μl, 100 μlGFAP Recombinant Rabbit Monoclonal Antibody [orb1152219]
IF, IHC-Fr, IHC-P, WB
Mouse, Rat
Human, Mouse, Rat
Rabbit
Recombinant
Unconjugated
25 μl, 100 μl, 50 μlGFAP Rabbit Polyclonal Antibody [orb1294403]
IF, IHC-Fr, IHC-P, WB
Human, Mouse, Rat
Rabbit
Polyclonal
Unconjugated
25 μl, 100 μl

Quality Guarantee
Explore bioreagents carefree to elevate your research. All our products are rigorously tested for performance. If a product does not perform as described on its datasheet, our scientific support team will provide expert troubleshooting, a prompt replacement, or a refund. For full details, please see our Terms & Conditions and Buying Guide. Contact us at support@biorbyt.com.

IP Result of anti-GFAP (IP: orb627313, 5 ug; Detection: orb627313 1:1000) with mouse brain tissue lysate 2640 ug.

U-251 cellswere subjected to SDS PAGE followed by western blot with orb627313 (GFAP antibody) at dilution of 1:10000.

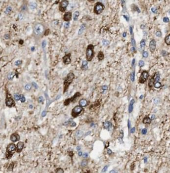
Immunohistochemistry of paraffin-embedded human brain tissue slide using orb627313 (GFAP Antibody) at dilution of 1:500 Heat mediated antigen retrieved with Citric acid buffer, pH6.0.
Quick Database Links
UniProt Details
−Documents Download
Request a Document
Protocol Information
GFAP Antibody (orb627313)
Participating in our Biorbyt product reviews program enables you to support fellow scientists by sharing your firsthand experience with our products.
Login to Submit a Review

















































