You have no items in your shopping cart.
Description
Research Area
Images & Validation
−| Tested Applications | IHC |
|---|---|
| Predicted Reactivity | Bovine, Canine, Equine, Guinea pig, Human, Mouse, Rabbit, Rat, Zebrafish |
Key Properties
−| Host | Rabbit |
|---|---|
| Clonality | Polyclonal |
| Immunogen | The immunogen is a synthetic peptide directed towards the following sequence KPDEDLPSPGARGQQEQPEGTTLVKEEGDKDESKQEPEVIYETNCHWEGC |
| Target | GLI3 |
| Protein Sequence | Synthetic peptide located within the following region: KPDEDLPSPGARGQQEQPEGTTLVKEEGDKDESKQEPEVIYETNCHWEGC |
| Molecular Weight | 170 kDa |
| Purification | Affinity Purified |
| Conjugation | Unconjugated |
Storage & Handling
−| Storage | Maintain refrigerated at 2-8°C for up to 2 weeks. For long term storage store at -20°C in small aliquots to prevent freeze-thaw cycles. |
|---|---|
| Buffer/Preservatives | Liquid. Purified antibody supplied in 1x PBS buffer with 0.09% (w/v) sodium azide and 2% sucrose. |
| Concentration | 0.5 mg/ml |
| Expiration Date | 12 months from date of receipt. |
| Disclaimer | For research use only |
Alternative Names
−Similar Products
−GLI-3 rabbit pAb Antibody [orb768436]
ELISA, IF, IHC
Human, Mouse, Rat
Polyclonal
Unconjugated
100 μl, 50 μlGli3 Rabbit Polyclonal Antibody [orb157158]
IF, IHC-Fr, IHC-P
Bovine, Equine, Gallus, Human, Rabbit, Sheep
Mouse, Rat
Rabbit
Polyclonal
Unconjugated
50 μl, 100 μl, 200 μlGLI3 Specific Rabbit Polyclonal Antibody [orb395084]
ELISA, WB
Human, Mouse, Rat
Rabbit
Polyclonal
Unconjugated
50 μg, 100 μgGLI3 Specific Rabbit Polyclonal Antibody [orb633164]
ELISA, IHC
Human
Rabbit
Polyclonal
Unconjugated
50 μg, 100 μgGLI3 Rabbit Polyclonal Antibody [orb1562652]
ELISA, WB
Mouse, Rat
Human
Rabbit
Polyclonal
Unconjugated
100 μg

Quality Guarantee
Explore bioreagents carefree to elevate your research. All our products are rigorously tested for performance. If a product does not perform as described on its datasheet, our scientific support team will provide expert troubleshooting, a prompt replacement, or a refund. For full details, please see our Terms & Conditions and Buying Guide. Contact us at support@biorbyt.com.

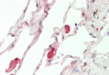
Rabbit Anti-GLI3 antibody, Formalin Fixed Paraffin Embedded Tissue: Human Lung, Primary antibody Concentration: 1:100, Secondary Antibody: Donkey anti-Rabbit-Cy3, Secondary Antibody Concentration: 1:200, Magnification: 20x, Exposure Time: 0.5-2.0 sec.

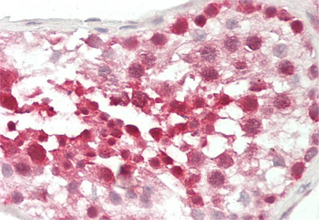
Rabbit Anti-GLI3 antibody, Formalin Fixed Paraffin Embedded Tissue: Human Testis, Primary antibody Concentration: 1:100, Secondary Antibody: Donkey anti-Rabbit-Cy3, Secondary Antibody Concentration: 1:200, Magnification: 20x, Exposure Time: 0.5-2.0 sec.
Documents Download
Request a Document
GLI3 Rabbit Polyclonal Antibody (orb574133)
Participating in our Biorbyt product reviews program enables you to support fellow scientists by sharing your firsthand experience with our products.
Login to Submit a Review





