You have no items in your shopping cart.
GLUD1 Antibody
Description
Research Area
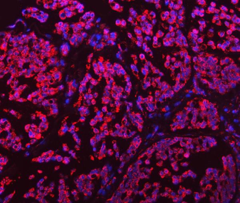
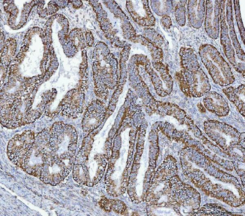
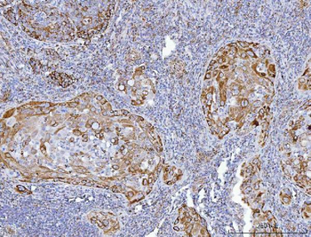
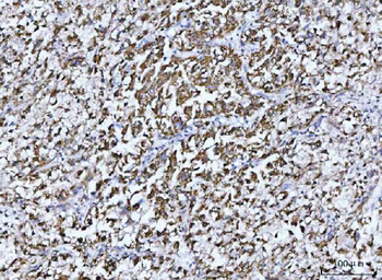
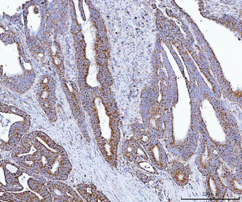
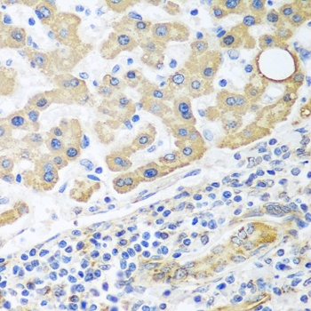
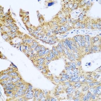
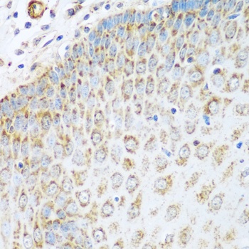
Images & Validation
−
| Tested Applications | WB |
|---|---|
| Dilution range | WB: 1/500-1/2000; ELISA: 1/5000-1/10000 |
| Reactivity | Human, Mouse, Rat |
Key Properties
−| Antibody Type | Primary Antibody |
|---|---|
| Host | Rabbit |
| Clonality | Polyclonal |
| Isotype | Rabbit IgG |
| Immunogen | Synthetic peptide of human GLUD1 |
| Target | GLUD1 |
| Molecular Weight | 61 kDa |
| Conjugation | Unconjugated |
Storage & Handling
−| Storage | Maintain refrigerated at 2-8°C for up to 2 weeks. For long term storage store at -20°C in small aliquots to prevent freeze-thaw cycles. |
|---|---|
| Buffer/Preservatives | Purified antibody in PBS with 0.05% sodium azide and 50% glycerol. |
| Concentration | Approximately 1mg/ml (varies from batch to batch). Please inquire for precise concentration. |
| Disclaimer | For research use only |
Alternative Names
−Similar Products
−GLUD1 Rabbit Polyclonal Antibody [orb579551]
IHC, WB
Bovine, Canine, Equine, Guinea pig, Mouse, Porcine, Rabbit, Sheep, Zebrafish
Human, Rat
Rabbit
Polyclonal
Unconjugated
100 μlGLUD1/2 Antibody [orb1152344]
ELISA, FC, ICC, IF, IHC, WB
Human, Mouse, Rat
Rabbit
Polyclonal
Unconjugated
100 μgGlutamate Dehydrogenase Antibody [orb20463]
ELISA, IF, IHC, WB
Bovine, Canine
Human, Mouse, Rat
Goat
Polyclonal
Unconjugated
100 μgGLUD1 Rabbit Polyclonal Antibody [orb579550]
IHC, WB
Bovine, Canine, Equine, Mouse, Porcine, Sheep, Yeast, Zebrafish
Human, Rat
Rabbit
Polyclonal
Unconjugated
100 μl

Quality Guarantee
Explore bioreagents carefree to elevate your research. All our products are rigorously tested for performance. If a product does not perform as described on its datasheet, our scientific support team will provide expert troubleshooting, a prompt replacement, or a refund. For full details, please see our Terms & Conditions and Buying Guide. Contact us at support@biorbyt.com.
Documents Download
Request a Document
GLUD1 Antibody (orb1275154)
Participating in our Biorbyt product reviews program enables you to support fellow scientists by sharing your firsthand experience with our products.
Login to Submit a Review















































