You have no items in your shopping cart.
GSK3α (Phospho-Ser21) Antibody
Description
Images & Validation
−| Tested Applications | IF, IHC, WB |
|---|---|
| Reactivity | Human, Mouse, Rat |
Key Properties
−| Antibody Type | Primary Antibody |
|---|---|
| Host | Rabbit |
| Clonality | Polyclonal |
| Conjugation | Unconjugated |
Storage & Handling
−| Storage | Maintain refrigerated at 2-8°C for up to 2 weeks. For long term storage store at -20°C in small aliquots to prevent freeze-thaw cycles. |
|---|---|
| Expiration Date | 12 months from date of receipt. |
| Disclaimer | For research use only |
Similar Products
−Phospho-GSK-3 Beta (Ser21) Rabbit Polyclonal Antibody [orb5357]
FC, IF, IHC-Fr, IHC-P, WB
Bovine, Canine, Equine, Gallus, Guinea pig, Human, Porcine, Sheep
Mouse, Rat
Rabbit
Polyclonal
Unconjugated
50 μl, 200 μl, 100 μlPhospho-GSK-3 Beta (Ser21+Ser29) Rabbit Polyclonal Antibody [orb5356]
ICC, IF, IHC-Fr, IHC-P, WB
Bovine, Canine, Equine, Gallus, Guinea pig, Porcine, Sheep
Human, Mouse, Rat
Rabbit
Polyclonal
Unconjugated
50 μl, 100 μl, 200 μlGSK3α (Phospho-Ser21) Antibody [orb223015]
IHC, IP, WB
Human, Mouse, Rat
Rabbit
Polyclonal
Unconjugated
50 μg, 200 μg, 25 μg, 100 μgPhospho-GSK-3 Beta (Ser21+Ser29) Rabbit Polyclonal Antibody (FITC) [orb8204]
ICC, IF
Bovine, Canine, Equine, Gallus, Guinea pig, Porcine, Sheep
Human, Mouse, Rat
Rabbit
Polyclonal
FITC
100 μlPhospho-GSK3A (Ser21) Rabbit Polyclonal Antibody [orb14750]
IF, IHC-Fr, IHC-P
Bovine, Canine, Human, Porcine, Rat
Mouse
Rabbit
Polyclonal
Unconjugated
50 μl, 100 μl, 200 μl

Quality Guarantee
Explore bioreagents carefree to elevate your research. All our products are rigorously tested for performance. If a product does not perform as described on its datasheet, our scientific support team will provide expert troubleshooting, a prompt replacement, or a refund. For full details, please see our Terms & Conditions and Buying Guide. Contact us at support@biorbyt.com.

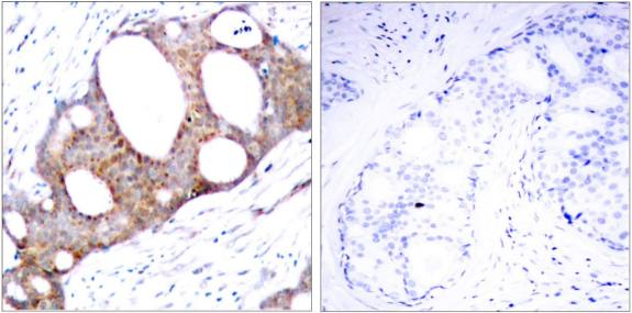
Immunohistochemical analysis of paraffin- embedded human breast carcinoma tissue using GSK3 alpha (phospho-Ser21) antibody (left) or the same antibody preincubated with blocking peptide (right)

Western blot analysis of extracts from 293 cells untreated (lane 1) or treated with serum (lane 2) using GSK3 alpha (Phospho-Ser21) antibody

Western blot analysis of extracts from ovary cancer cells using GSK3 alpha (phospho-Ser21) antibody

Immunofluorescence staining of methanol-fixed HeLa cells showing cytoplasmic staining using GSK3 alpha (phospho-Ser21) antibody
Quick Database Links
UniProt Details
−Documents Download
Request a Document
Protocol Information
GSK3α (Phospho-Ser21) Antibody (orb6121)
Participating in our Biorbyt product reviews program enables you to support fellow scientists by sharing your firsthand experience with our products.
Login to Submit a Review











