You have no items in your shopping cart.
GSTA3 Antibody
Description
Research Area
Images & Validation
−| Tested Applications | ELISA, IHC, WB |
|---|---|
| Dilution Range | ELISA:1:2000-1:5000, WB:1:500-1:2000, IHC-P:1:25-1:100 |
| Reactivity | Human |
Key Properties
−| Host | Rabbit |
|---|---|
| Clonality | Polyclonal |
| Isotype | IgG |
| Immunogen | Fusion protein of Human GSTA3 |
| Target | GSTA3 |
| Purification | Antigen Affinity Purified |
| Conjugation | Unconjugated |
Storage & Handling
−| Storage | Maintain refrigerated at 2-8°C for up to 2 weeks. For long term storage store at -20°C in small aliquots to prevent freeze-thaw cycles. |
|---|---|
| Form/Appearance | Liquid |
| Buffer/Preservatives | -20°C, pH7.4 PBS, 0.05% NaN3, 40% Glycerol |
| Expiration Date | 12 months from date of receipt. |
| Disclaimer | For research use only |
Alternative Names
−Similar Products
−GSTA3 Rabbit Polyclonal Antibody [orb5362]
IF, IHC-Fr, IHC-P
Canine, Equine, Porcine, Rabbit, Sheep
Human, Mouse, Rat
Rabbit
Polyclonal
Unconjugated
50 μl, 100 μl, 200 μlRat Glutathione S Transferase Alpha 3 (GSTa3) ELISA Kit [orb777071]
Rat
0.32-20 ng/mL
0.137 ng/mL
96 T, 48 THuman Glutathione S Transferase Alpha 3 (GSTa3) ELISA Kit [orb779048]
Human
0.16-10 ng/mL
0.07 ng/mL
48 T, 96 TGSTA1/GSTA2/GSTA3/GSTA4/GSTA5 Rabbit Polyclonal Antibody [orb315135]
IF, IHC, WB
Human, Mouse, Rat
Rabbit
Polyclonal
Unconjugated
100 μg

Quality Guarantee
Explore bioreagents carefree to elevate your research. All our products are rigorously tested for performance. If a product does not perform as described on its datasheet, our scientific support team will provide expert troubleshooting, a prompt replacement, or a refund. For full details, please see our Terms & Conditions and Buying Guide. Contact us at support@biorbyt.com.

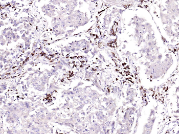
Immunohistochemistry of paraffin-embedded Human prostate cancer tissue using GSTA3 antibody

Western blot aanalysis of Human testis tissueusing GSTA3 antibody

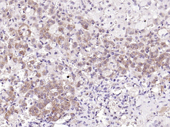
Immunohistochemistry of paraffin-embedded Human brain tissue using GSTA3 antibody
Quick Database Links
UniProt Details
−Documents Download
Request a Document
Protocol Information
GSTA3 Antibody (orb520954)
Participating in our Biorbyt product reviews program enables you to support fellow scientists by sharing your firsthand experience with our products.
Login to Submit a Review









