You have no items in your shopping cart.
HGF Rabbit Polyclonal Antibody
Description
Research Area
Images & Validation
−| Tested Applications | IHC, WB |
|---|---|
| Reactivity | Human |
| Predicted Reactivity | Bovine, Canine, Equine, Guinea pig, Mouse, Porcine, Rabbit, Rat, Sheep |
Key Properties
−| Host | Rabbit |
|---|---|
| Clonality | Polyclonal |
| Immunogen | The immunogen is a synthetic peptide directed towards the N terminal region of human HGF |
| Target | HGF |
| Protein Sequence | Synthetic peptide located within the following region: VKKEFGHEFDLYENKDYIRNCIIGKGRSYKGTVSITKSGIKCQPWSSMIP |
| Molecular Weight | 83 kDa |
| Purification | Affinity Purified |
| Conjugation | Unconjugated |
Storage & Handling
−| Storage | Maintain refrigerated at 2-8°C for up to 2 weeks. For long term storage store at -20°C in small aliquots to prevent freeze-thaw cycles. |
|---|---|
| Buffer/Preservatives | Liquid. Purified antibody supplied in 1x PBS buffer with 0.09% (w/v) sodium azide and 2% sucrose. |
| Concentration | 0.5 mg/ml |
| Expiration Date | 12 months from date of receipt. |
| Disclaimer | For research use only |
Alternative Names
−Similar Products
−Met (phospho Tyr1234) rabbit pAb Antibody [orb764235]
ELISA, IHC, WB
Human, Monkey, Mouse, Rat
Polyclonal
Unconjugated
100 μl, 50 μlMet (phospho Tyr1349) rabbit pAb Antibody [orb764236]
ELISA, IHC, WB
Human, Mouse, Rat
Polyclonal
Unconjugated
100 μl, 50 μlMet rabbit pAb Antibody [orb765658]
ELISA, IF, IHC, WB
Human, Mouse, Rat
Polyclonal
Unconjugated
100 μlMet (phospho Tyr1356) rabbit pAb Antibody [orb769108]
ELISA, IHC, WB
Human, Mouse, Rat
Polyclonal
Unconjugated
100 μl, 50 μlMet (phospho Tyr1003) rabbit pAb Antibody [orb769109]
ELISA, IF, IHC, WB
Human, Mouse, Rat
Polyclonal
Unconjugated
100 μl, 50 μl

Quality Guarantee
Explore bioreagents carefree to elevate your research. All our products are rigorously tested for performance. If a product does not perform as described on its datasheet, our scientific support team will provide expert troubleshooting, a prompt replacement, or a refund. For full details, please see our Terms & Conditions and Buying Guide. Contact us at support@biorbyt.com.

25 ug of the indicated Mouse whole cell extracts was loaded onto a 12% SDS-PAGE gel. 0.5 ug/ml of the antibody was used in this experiment. Protein is processed to yield 51 kDa alpha chain.

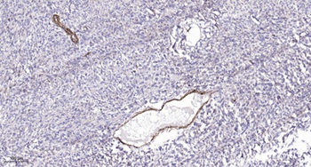
Formalin Fixed Paraffin Embedded Tissue: human liver cancer, Primary antibody concentration: 7 ug/ml, Incubation with primary antibodies: overnight at 4°C, Detections: Avidin-Biotin-HRP with NovaRed (Vector Labs) substrate. Counterstain: Hematoxylin.

Formalin Fixed Paraffin Embedded Tissue: normal human kidney, Primary antibody concentration: 7 ug/ml, Incubation with primary antibodies: overnight at 4°C, Detections: Avidin-Biotin-HRP with NovaRed (Vector Labs) substrate. Counterstain: Hematoxylin.

Formalin Fixed Paraffin Embedded Tissue: normal human liver, Primary antibody concentration: 7 ug/ml, Incubation with primary antibodies: overnight at 4°C, Detections: Avidin-Biotin-HRP with NovaRed (Vector Labs) substrate. Counterstain: Hematoxylin.

Sample Tissue: Human HepG2, Antibody Dilution: 1.0 ug/ml.

Sample Tissue: Human MCF7 Whole Cell, Antibody Dilution: 1 ug/ml.

Sample Tissue: Human OVCAR-3 Whole Cell, Antibody Dilution: 3 ug/ml.

Sample Type: 293T Whole Cell lysates, Antibody Dilution: 0.2 ug/ml.

Sample Type: 293T Whole Cell lysates, Antibody Dilution: 0.2 ug/ml.

Sample Type: 721_B Cell lysates, Antibody Dilution: 1.0 ug/ml.

Sample Type: 721_B Whole Cell lysates, Antibody Dilution: 0.5 ug/ml.

Sample Type: Human HepG2 cell, Lane A: Primary Antibody, Lane B: Primary Antibody + Blocking Peptide, Primary Antibody Concentration: 1 ug/ml, Peptide Concentration: 5.0 ug/ml, Lysate Quantity: 25 ug/lane/lane, Gel Concentration: 12%.

Positive control (+): Human Placenta (PL), Negative control (-): Human heart (HE), Antibody concentration: 1 ug/ml.

Immunohistochemistry with Human Adrenal Gland lysate tissue at an antibody concentration of 5.0 ug/ml using anti-HGF antibody (orb579132).

WB Suggested Anti-HGF Antibody Titration: 0.2-1 ug/ml, ELISA Titer: 1:312500, Positive Control: 293T cell lysate. There is BioGPS gene expression data showing that HGF is expressed in HEK293T.
Quick Database Links
UniProt Details
−NCBI Reference Sequences
−| Protein | NP_001010932 |
|---|
Documents Download
Request a Document
Protocol Information
HGF Rabbit Polyclonal Antibody (orb579132)
Participating in our Biorbyt product reviews program enables you to support fellow scientists by sharing your firsthand experience with our products.
Login to Submit a Review


















