You have no items in your shopping cart.
HK2 (Hexokinase II) Antibody (Center)
Description
Research Area
Images & Validation
−| Tested Applications | IHC-P, WB |
|---|---|
| Dilution Range | WB: 1:1000, IHC-P: 1:50~100 |
| Reactivity | Human |
Key Properties
−| Antibody Type | Primary Antibody |
|---|---|
| Host | Rabbit |
| Clonality | Polyclonal |
| Isotype | Rabbit IgG |
| Clone No. | RB03920 |
| Target | This HK2 (Hexokinase II) antibody is generated from rabbits immunized with a KLH conjugated synthetic peptide between 401-431 amino acids from the Central region of human HK2 (Hexokinase II). |
| Molecular Weight | 102380 Da |
| Conjugation | Unconjugated |
Storage & Handling
−| Storage | Maintain refrigerated at 2-8°C for up to 2 weeks. For long term storage store at -20°C in small aliquots to prevent freeze-thaw cycles |
|---|---|
| Form/Appearance | Purified polyclonal antibody supplied in PBS with 0.09% (W/V) sodium azide. This antibody is prepared by Saturated Ammonium Sulfate (SAS) precipitation followed by dialysis against PBS. |
| Expiration Date | 12 months from date of receipt. |
| Disclaimer | For research use only |
Alternative Names
−Similar Products
−HK2 (Hexokinase II) Antibody (Center) [orb1928567]
IHC-P, WB
Human, Mouse, Rat
Rabbit
Polyclonal
Unconjugated
100 μl, 50 μl

Quality Guarantee
Explore bioreagents carefree to elevate your research. All our products are rigorously tested for performance. If a product does not perform as described on its datasheet, our scientific support team will provide expert troubleshooting, a prompt replacement, or a refund. For full details, please see our Terms & Conditions and Buying Guide. Contact us at support@biorbyt.com.

The anti-HK2 Pab is used in Western blot to detect HK2 in A375 cell lysate.

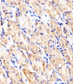
Formalin-fixed and paraffin-embedded human cancer tissue reacted with the primary antibody, which was peroxidase-conjugated to the secondary antibody, followed by DAB staining. This data demonstrates the use of this antibody for immunohistochemistry; clinical relevance has not been evaluated. BC = breast carcinoma; HC = hepatocarcinoma.
Quick Database Links
UniProt Details
−NCBI Reference Sequences
−| Protein | NP_000180.2 |
|---|
Documents Download
Request a Document
Protocol Information
HK2 (Hexokinase II) Antibody (Center) (orb1928568)
Participating in our Biorbyt product reviews program enables you to support fellow scientists by sharing your firsthand experience with our products.
Login to Submit a Review




